Влияние Утрожестана на месячные: через сколько дней начинаются, когда задерживаются или приходят раньше срока Менструальный…
Рубрика “Гинеколог”
Категория: Гинеколог
Родительская категория:
Первые месячные у девочки, симптомы, длительность, отклонения Первые менструации у девчонок, по-научному она называется менархе,…
Месячные в середине цикла: причина Большинство современных леди наверняка не раз сталкивались с проблемой кровянистых…
Список явных причин задержки месячных Менструальный цикл — комплекс изменений в организме женщины, направленных на…
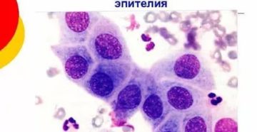
Метаплазия шейки матки Метаплазия – это процесс замещения дифференцированных клеток с сохранением вида ткани. Её…
Янтарная кислота: что это такое, где содержится, преимущества, противопоказания и вред Когда хочется быть здоровым,…
Левый бок болит внизу живота: что и почему может болеть при сексе и после у…
Повышен АЛТ при беременности: что это значит и что делать? Норма АЛТ у женщин Среди…
Значение ДГЭА и ДГЭА-сульфат у женщин при СПКЯ ДГЭА (дегидроэпиандростерон) и его сульфатная форма ДГЭА-C…
Впч и эрозия шейки матки: взаимосвязь, особенности Более чем у 70% женщин, которые ведут активную…










