Восстановление голоса после удаления щитовидной железы admin страница » Прощитовидку…
Рубрика “Лор”
Категория: Лор
Родительская категория:
Что делать если пропало обоняние? Как его восстановить? Изредка насморк может привести не только к…
У вас сильно болит голова и давит виски? не недооценивайте эти симптомы – они могут…
Почему простуду нельзя лечить антибиотиками? Объясняют врачи Грядёт сезон простуд – многие из нас уже…
Почему пропало обоняние и как его вернуть? Потеря обоняния (аносмия) – серьезная проблема отрицательно влияющая…
Красные пупырышки на языке: насколько это опасно и как это вылечить Когда на языке выскакивают…
Белые комочки в горле на гландах и миндалинах: что это такое и как лечится Наличие…
Заложенность носа без насморка: неприятный симптом, от которого можно избавиться Когда при насморке закладывает нос,…
Как эффективно вылечить буллезный отит Вирусные заболевания, особенно в период эпидемии гриппа, сильно ослабляют организм….
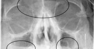
Гайморит на снимке: описание, расшифровка показателей, диагностика заболевания, методы лечения Гайморит — нагноение слизистой оболочки…










