Киста эндометриоидная по УЗИ
Эндометриоидная киста шейки матки: причины возникновения, симптомы и лечение

Эндометриоидная киста шейки матки — доброкачественное новообразование, формирующееся из клеток эндометрия.
Каждый менструальный цикл слизистый слой матки нарастает, готовясь к внедрению оплодотворенной яйцеклетки. Если зачатия не происходит, эндометрий отторгается и выводится.
Клетки слизистой могут распространяться за пределы матки, приживаясь в других органах, например, в цервикальном канале.
Причины возникновения заболевания
К развитию эндометриоидной кисты приводят следующие факторы:
- Частые беременности и роды. Сопровождаются активным восстановлением матки и цервикального канала, приводящим к усиленному делению клеток эндометрия.
- Эндометриоз. Патологическое состояние характеризуется появлением клеток слизистого слоя матки в органах малого таза. При длительном течении заболевания формируются доброкачественные новообразования, функциональная активность которых зависит от фазы цикла.
- Травмы шейки матки. Возникают при абортах и неправильном выполнении хирургических вмешательств, например, диагностического выскабливания.
- Нарушение выработки гормонов. Дефицит прогестерона во второй половине цикла приводит к продолжению роста и распространению эндометрия. Гормональный сбой негативно влияет и на качество цервикальной слизи, сгущение которой повышает риск формирования кисты.
- Воспалительные процессы в матке и цервикальном канале. Нарушают процессы деления клеток, способствуя развитию доброкачественных новообразований.
- Инфекции, передающиеся половым путем. Приводят к развитию стойкого воспалительного процесса, нарушающего структуру тканей шейки матки.
- Генетическая предрасположенность. В группу риска входят пациентки, близкие родственницы которых страдали подобным заболеванием.
- Несоблюдение правил интимной гигиены, случайные половые контакты.
Характерные симптомы
Для кисты шейки матки характерны следующие симптомы:
- Боли в нижней части живота. Имеют тянущий характер, усиливаются во второй половине менструального цикла. Могут отдавать в поясницу, промежность или задний проход.
- Нарушение менструального цикла. При наличии кисты цикл может удлиняться или укорачиваться. Нередко изменяется интенсивность менструального кровотечения.
- Дискомфорт при половом акте. Возникает при наличии крупных новообразований, распространяющихся за пределы цервикального канала.
- Появление кровянистых выделений, не связанных с менструациями.
- Наличие гнойных влагалищных выделений с неприятным запахом. Этот симптом свидетельствует об инфицировании и нагноении кисты. В таком случае может повышаться температура тела, возникать озноб.
Методы диагностики
Для выявления кисты на шейке матки используют следующие диагностические процедуры:
- Гинекологический осмотр. Применение зеркал помогает тщательно осмотреть шейку матки и обнаружить патологические изменения на ее поверхности. При осмотре обнаруживаются новообразования размером от 3 мм, признаки эндометриоза и эрозии. Эндометриоидные кисты имеют темно-красный цвет, интенсивность которого увеличивается во второй половине цикла. За несколько дней до месячных кисты начинают кровоточить.
- УЗИ органов малого таза. Во время процедуры изучают матку и ее шейку, мочевой пузырь, придатки. Это позволяет обнаружить опухоли, определить их размеры и локализацию, выявить сопутствующие патологии.
- Кольпоскопия. Этот метод исследования направлен на детальное изучение стенок влагалища и нижних отделов шейки. С помощью используемого оборудования делаются снимки, помогающие тщательно изучить кисту.
- Гистероскопия. При подозрении на поражение внутренней части цервикального канала или нижних отделов матки назначается эндоскопическое исследование, помогающее тщательно осмотреть слизистые оболочки. Вводимый в цервикальный канал прибор оснащен камерой, подающей изображение на монитор.
- Биопсия. Полученный в ходе процедуры материал направляется на гистологическое исследование, дающее возможность подтвердить или опровергнуть злокачественный характер опухоли.
- Анализ мазка из влагалища. Используется для выявления инфекций, способных стать причиной появления кисты.
Лечение
Новообразования небольших размеров устраняются консервативными методами.
Для этого используют:
- Комбинированные оральные контрацептивы (Ярина, Жанин). Применяются при лечении заболевания у женщин молодого возраста.
- Прогестины (Дюфастон). Назначаются пациенткам старше 35 лет. Препараты подавляют рост и распространение эндометрия.
- Агонисты гонадотропного рилизингового фактора (Бусерелин). Используются для устранения эндометриоидных кист у женщин пожилого возраста.
- Нестероидные противовоспалительные препараты (Индометацин, Диклофенак). Применяются при лечении заболевания у пациенток всех возрастов для снятия боли и других признаков воспаления.
При неосложненном течении заболевания у молодых женщин применяют малоинвазивные процедуры:
- Криодеструкция. Новообразование обрабатывают жидким азотом, способствующим отмиранию тканей. На месте кисты остается небольшая рана, которая заживает через 7-10 дней.
- Лазерное удаление. На пораженные области воздействуют лазерным лучом, способствующим испарению тканей.
- Радиоволновая деструкция. Локальное воздействие прекращает кровоснабжение кисты, из-за чего она уменьшается и со временем отмирает.
Указанные методы отличаются низким риском развития осложнений, отсутствием послеоперационных рубцов, безболезненностью.
Операция может проводиться без предварительной подготовки пациентки, что ускоряет терапию.
Радикальные методы, к которым относят удаление матки и придатков, используют при:
- наличии сопутствующих заболеваний (миомы, фиброматоза, злокачественных опухолей);
- хроническом течении эндометриоза, характеризующемся частым возникновением обострений;
- пожилом возрасте пациентки.
Возможные осложнения
Киста шейки матки может приводить к развитию следующих осложнений:
- Рак шейки матки. Относится к редким осложнениям заболевания. Несмотря на то что кисту считают опухолью, раковые клетки в ее составе появляются в редких случаях.
- Бактериальные инфекции. Кистозные полости являются хорошей средой для развития патогенных микроорганизмов. Это становится причиной воспаления слизистых цервикального канала или матки. Заболевания приобретают хронический рецидивирующий характер.
- Усиленный рост кисты. Сопровождается кровотечениями и постоянными болями, ухудшающими качество интимной жизни пациентки.
- Бесплодие. Крупные новообразования полностью перекрывают цервикальный канал, препятствуя проникновению сперматозоидов.
Профилактика
Специфических способов профилактики эндометриоидной кисты не существует.
Снизить риск ее возникновения помогают:
- своевременное лечение эндометриоза, воспалительных и инфекционных заболеваний;
- получение заместительной гормональной терапии;
- отказ от случайных интимных связей;
- соблюдение гигиены половых органов;
- правильное выполнение гинекологических операций;
- исключение абортов.
Женщины, перенесшие операцию по удалению кисты, должны регулярно посещать гинеколога и проходить обследования.
Источник:
Киста эндометрия матки как проявление генитального эндометриоза
Женщины часто болеют такими распространенными заболеваниями полового аппарата как кисты.
Киста эндометрия матки — это образование, состоящее из ткани, выстилающей матку изнутри. Это доброкачественное опухолевидное новообразование крайне редко перерождается в злокачественное.
Киста является следствием такого заболевания как эндометриоз.
У данного заболевания различают локализацию разрастания:
- Генитальную — прорастание эндометрия в толщу матки, в просвет фаллопиевых труб, во влагалище, шейку матки или яичники с образованием кисты.
- Экстрагенитальную – имплантация частичек эндометрия в соседние органы, не имеющие отношения к половому аппарату.
В свою очередь, генитальный эндометриоз делится на:
- Внутренний — развившийся в толще матки (аденомиоз).
- Наружный – очаги находятся вне пределов матки: на шейке, яичниках, трубах.
Очень важен дифференциальный анализ эндометриоза с раковыми заболеваниями. Симптомы этих заболеваний имеют определенное сходство и нередко создают трудности с постановкой диагноза.
Как протекает?
Это заболевание имеет гормонозависимый характер и развивается чаще всего в нескольких органах одновременно. В этих очагах протекают циклические превращения сходные с таковыми в слизистой оболочке матки. Но степень их не всегда одинакова.
Остается также неясным, почему они по-разному реагируют на все виды гормонального лечения.
Если эндометриоз, развившийся в легких, в начальной степени заболевания довольно хорошо поддается гормональному лечению, то эктоцервикальный эндометриоз в шейке матки плохо реагирует на лечение гормонами, хотя оба эти заболевания берут начало из функционального слоя слизистой матки.
Очаги эндометрия, находящиеся вне пределов своего естественного существования, ведут себя так же, как они вели бы себя в матке: они претерпевают циклические преобразования и «менструируют», то есть кровоточат.
В результате таких изменений в пораженных тканях происходят воспалительные процессы, что в тандеме со спайками может стать причиной бесплодия.Чем большее количество времени прошло от начала болезни, тем ниже вероятность наступления желанной беременности.
Стадии патологического процесса в полости матки:
- 1 стадия — подслизистое расположение патологического процесса;
- 2 стадия — распространение процесса в середину толщи матки;
- 3 стадия — в патологический процесс вовлекается весь мышечный слой;
- 4 стадия — вовлечение в процесс смежных органов.
Факторы риска
Встречается у всех возрастных групп пациенток, но чаще поражает женщин детородного возраста.
С появлением кисты связывают такие факторы как:
- гормональные нарушения;
- отягощенная наследственность;
- нарушение обмена веществ;
- возраст после 40 лет.
А также недоказанные причины:
- продолжительное ношение внутриматочной спирали;
- хирургические аборты;
- диагностическое выскабливание;
- операции на матке;
- перенесенные венерические заболевания;
- роды.
Диагностика кисты эндометрия
Чаще всего такое заболевание обнаруживается случайно, в основном при обращении пациентки с жалобами на невозможность забеременеть.
Методы, с помощью которых диагностируют кисты на шейки матки:
- Гинекологический осмотр и пальпация. С помощью осмотра в зеркалах легко определить наличие, локализацию и количество кист, если у них шеечное расположение. Эндометриодная киста имеет темно-красную окраску и ее легко обнаружить.
- УЗИ с вагинальным датчиком, который позволяет произвести качественное обследование гинекологических органов.
- Гистероскопия — метод, при котором полость матки исследуется с помощью введенного внутрь прибора.
- Кольпоскопия, позволяющая не только определить расположение кисты, но и сделать ее фотографию.
- Биопсия – забор кусочка ткани опухоли с целью анализа.
Симптомы, сопровождающие появление заболевания
Кисты эндометрия матки имеют такие симптомы:
- Более длительные кровотечения.
- Боль или дискомфорт, усиливающийся во время и накануне месячных.
- Ациклические кровотечения.
- Выделения коричневатого цвета до и после начала месячных.
- Диспареуния (боль во время полового сношения) за 1-5 дней до менструального кровотечения.
- Вздутие живота.
Виды терапии
Способ лечения кисты определяется множеством совокупных факторов, начиная с возраста пациентки, локализации образования, стадии заболевания и других.Основные методы:
В начальной стадии заболевания у молодых пациенток имеет смысл применить медикаментозное лечение с применением гормонов и противовоспалительных препаратов.
В качестве гормональных лекарств используют:
- КОК (комбинированные эстроген-гестагенсодержащие препараты) — эффективны только в начальных стадиях болезни с локальными очагами;
- Синтетические прогестины, эффективно снижающие уровень эстрогенов, способствующих прогрессии заболевания.
- Агонисты гонадотропин-рилизинг гормона – самые сильные препараты, способные сдерживать развитие эндометриоза, но в связи с массой побочных эффектов используются как экстренная мера.При отсутствии эффекта от гормонотерапии проводится хирургическое лечение.
Хирургическое удаление:
- Малоинвазивное (в случае расположения кисты на шейке матки). Производится методом электрокоагуляции. Представляет собой безопасный и эффективный метод лечения. После операции показана дополнительная гормонотерапия с целью профилактики повторного возникновения кисты.
- Лапароскопическое удаление (до 2-3 стадии заболевания).
- Эмболизация сосудов путем введения особых частиц, которые, перекрывая просвет сосуда питающего патологическое образование, способствуют его уменьшению.
- Удаление внутренней оболочки матки методом абляции. При этом происходит разрушение глубоких слоев эндометрия. Данный вид лечения эффективен при не слишком глубоком проникновении образования в стенку матки.
- Экстирпация или полное удаление матки вместе с яичниками (в самых запущенных случаях).
Способы лечения эндометриоидной кисты народными средствами
Основными методами альтернативной медицины являются фитотерапия и лечение пиявками. Гирудотерапия эффективна при всех женских заболеваниях, сопровождающихся нарушением гормонального уровня.
Слюна этого животного содержит более 150 биологически активных веществ, осуществляющих комплексное оздоравливающее воздействие на организм.
Источник: https://gb8-omsk.ru/lechenie/endometrioidnaya-kista-shejki-matki-prichiny-vozniknoveniya-simptomy-i-lechenie.html
Киста эндометрия: что такое, симптомы, причины возникновения, лечение, профилактика

В гинекологической практике одним из наиболее распространенных заболеваний считается киста эндометрия. Это патологический процесс, сопровождающийся формированием доброкачественной опухоли, которая состоит из клеток эндометрия матки. Кистозное эндометрическое образование возникает на фоне такой болезни, как эндометриоз.
Что такое
Киста эндометрия – это доброкачественная опухоль. Представлена в виде капсулы, которая имеет плотные стенки и полость. Иногда она заполняется содержимым жидкой консистенции. В жидкости могут скапливаться гнойные, серозные или геморрагические элементы.
Местом локализации кистозного образования выступают толщи слизистой эндометрия. Разрастание, как правило, происходит на поверхности или внутрь тканей.
особенность такой разновидности кистозных опухолей заключается в том, что они образуются исключительно на фоне воспаления, протекающего в маточном теле. Такое состояние в медицине называют эндометрит.
Причины
В результате проявления патологических и воспалительных процессов железные протоки в эндометриоидном слое могут закупориваться. В результате создается препятствие для вывода секрета, что приводит к застойным явлениям.
На этом фоне начинает образовываться полость с таким содержимым внутри. Стечением времени стенки ее значительно уплотняются. Такой этап и характеризуется образованием кистозной опухоли.
При этом стоит отметить, что работ желез не прекращается. И чем они активнее вырабатывают секрет, тем больше его скапливается внутри полости.
Среди предрасполагающих факторов развития патологии выделяют:
- генетическую предрасположенность, что связывают с аномальным строением протоков (отмечается, например, его сужение или сращивание);
- нарушения на гормональном уровне, в результате чего выработка секрета увеличивается;
- снижение тканевой иммунной системы, чему могут способствовать различные заболевания инфекционной или воспалительной природы происхождения, травмирование в результате проведения хирургического вмешательства, что также увеличивает появление кисты эндометрия;
- многочисленные медицинские аборты или роды, на фоне которых иммунитет тканей также снижается;
- неправильное выполнение гигиенических процедур;
- отсутствие контрацепции при частой смене половых партнеров.
Стоит также отметить, что развитие патологического процесса на фоне эндометрита происходит вне зависимости от действия и поведения женщины.
Симптомы
Длительное время развитие кистозного образования протекает бессимптомно. Поэтому женщина даже не будет догадываться о нарушениях, происходящих в ее организме.
В результате опухоль продолжает расти. Именно по этой причине важно регулярно проходить гинекологический осмотр, который позволит выявить наличие патологии на ранней стадии.
По мере прогрессирования болезни начинает проявляться характерная клиническая картина.
Болезненность
При разрастании кистозной опухоли боли, как правило, возникают в нижней области живота. Могут иметь тянущий характер. Усиливаются со второй половины менструального цикла. Болевые ощущения также могут затрагивать поясничный отдел, анальное отверстие или паховую область.
Сбои менструального цикла
При развитии патологии возможно увеличение или уменьшение цикла. Часто также меняется интенсивность менструальных выделений.
Дискомфорт
Во время сексуального контакта женщина может испытывать неприятные ощущения. Такое состояние возможно при крупных опухолях, распространение которых отмечается за пределами цервикального канала
Выделения
О заболевании могут свидетельствовать и выделения, появляющиеся в период отсутствия месячных. Также возможно появление гнойного содержимого имеющего неприятный запах.
При наличии такой симптоматики можно говорить о нагноении и попадании инфекции в кистозную капсулу. Такое состояние сопровождается в большинстве случаев повышением температуры и ознобом.
Диагностика
Чтобы поставить верный диагноз, необходимо обратиться за помощью к специалисту. При первом посещении врач собирает необходимую информацию относительно начала появления менструации, характера ее протекания, возможных периодических нарушений. Также изучается анамнез жизни больной и проявившиеся симптомы.
Поле этого проводится дополнительное диагностическое обследование.
Осмотр влагалища
Данная процедура подразумевает простой осмотр на гинекологическом кресле с использованием зеркала. Благодаря такому методу оценивается состояние эндометрия и выявляются возможные его структурные изменения.
УЗИ
Ультразвуковое исследование необходимо не только для изучения шейки маточного тела, но также остальных органов малого таза и брюшины. Это позволяет установить наличие всех возможных новообразований с их распространением на рядом расположенные ткани.
Кольпоскопия
Подобное обследование необходимо для изучения влагалищных стенок и внешней поверхности матки. Благодаря современному оборудованию специалисты получают возможность получить изображение кистозного нароста. Это нужно для более детального исследования опухоли, ее размеров и места локализации.
Гистероскопия
Проводится при подозрении на поражение кистой внутренней поверхности цервикального канала или маточных стенок.
В ходе проведения процедуры врач берет образец патологической ткани. В дальнейшем его отправляют в лабораторию, и там проводят гистологический и цитологический анализ.
Только после получения результатов обследования принимается решение относительно тактики проведения терапевтических мероприятий.
Консервативный
Применяется данный метод при формировании небольших новообразований. Для устранения заболевания специалисты назначают медикаментозные препараты различных групп.
Комбинированные оральные контрацептивы
Наиболее популярными лекарственными средствами этой категории являются Жанин и Ярина. В большинстве случаев их рекомендуют при терапии патологии, развивающейся у женщин репродуктивного возраста.
Прогестины
Особое внимание уделяется Дюфастону. Чаще его используют пациентки в возрасте после 35 лет. Действие препарата направлено на подавление роста и распространения эндометриальной ткани
Агонисты
В группу агонистов гонадотропного рилизингового фактора входит Бусерелин. Его применяют с целью избавления от кистозного образования у пожилых пациенток.
Нестероидные противовоспалительные
К ним относят Диклофенак и Индометацин. Данные лекарственные средства могут применяться всеми больными вне зависимости от возраста. Благодаря их действию удается подавить болевой синдром и симптомы воспалительного процесса.
Малоинвазивный
Данная разновидность терапевтического вмешательства применяется при наличии небольших кистозных опухолей, которые располагаются на поверхности эндометрия и не прорастают вглубь его слоев. Также показанием является отсутствие другие сопутствующих патологических процессов.
Лазеротерапия
Суть ее заключается в воздействии на кисту посредством высокочастотного лазерного луча. При этом действие направляется точно на пораженный участок и не затрагиваются здоровые ткани. Достоинством такой методики считается ее малоинвазивность, отсутствие кровотечений и минимальный восстановительный период.
Криодеструкция
Кистозное образование замораживается под влиянием низких температур. Для этой цели используется жидкий азот. В результате патологические ткани отмирают и отпадают сами собой.
Радиоволновой метод
Киста удаляется при воздействии на нее радиоволнами. Кроме того, в ходе операции происходит спайка сосудов, что предотвращает развитие кровотечения.
Малоинвазивные методы получили свое широкое распространение за счет того, что после такого вмешательства практически не остается шрамов на коже. Также такие процедуры не требуют специальной подготовки пациентки, что делает терапевтический процесс более быстрым.
К данной разновидности также можно отнести лапароскопию. Это процедура, подразумевающая удаление патологических очагов с минимальным травмированием окружающих тканей. Его применяют в том случае, если отмечается распространение пораженного эндометрия за пределы кистозной полости.
Хирургический
Показаниями к проведению радикальной операции являются:
- сопутствующие патологии – фиброматоз, миома, опухоли злокачественного характера;
- эндометриоз в хронической форме;
- пожилой возраст больной.
Суть оперативного вмешательства заключается в полном иссечении органов репродуктивной системы.
Может ли перерасти в злокачественную опухоль
Несмотря на то, что риск перерождения кисты эндометрия минимальный, но он все же есть. Это может произойти под воздействие определенных факторов или при длительном отсутствии соответствующего лечения.
Осложнения
Патологический процесс может осложняться следующими состояниями:
- стремительное распространение кистозного образования, что сопровождается постоянными болями и обильными кровотечениями (в результате, на фоне такого явления начинает развиваться анемия);
- воспаление, что может спровоцировать перитонит, абсцесс, сепсис (в этом случае иногда может потребоваться экстренное хирургическое вмешательство с целью спасти жизнь пациентке);
- деформирование близлежащих органов, что происходит при их сдавливании большой опухолью;
- бесплодие.
Все перечисленные осложнения могут протекать в достаточно тяжелой форме. Поэтому при обнаружении кисты эндометрия ее необходимо удалять посредством проведения операции.
Прогноз
Если заболевание диагностировано на начальном этапе развития, то исход проведения терапевтических мероприятий будет достаточно благоприятным. При выявлении патологии в более запущенных стадиях прогноз может быть не таким утешительным. Если требуется радикальная операция, то женщина может полностью утратить свою детородную функцию.
Узи описание эндометриоидной кисты яичника

Большинство кист в яичниках доброкачественные. При семейных формах рака яичников или молочной железы риск злокачественной патологии повышается. Внематочную беременность, гидросальпинкс, тубоовариальный абсцесс можно ошибочно расценить как кисту яичника.
Если доминантный фолликул или желтое тело не регрессируют вовремя, образуется функциональная киста. Формальным признаком перехода фолликула в кисту служит размер более 30 мм. Такие кисты реагируют на циклические гормональные изменения и во время месячных самоликвидируются. При гормональной дисфункции киста может сохраняться несколько циклов.
Нажимайте на картинку, чтобы увеличить.
Рисунок. На УЗИ простые кисты яичника (1, 2, 3): анэхогенное образование с тонкими, гладкими стенками, без внутренних включений, акустическое усиление позади, размер более 30 мм.
Фолликулярная киста яичника на УЗИ
Фолликулярная киста возникает при ановуляторном цикле. Фиброзная капсула кисты состоит из текаткани фолликула, активный гранулезный эпителиий внутри вырабатывает фолликулярную жидкость.
В длительно существующих кистах гранулезная выстилка атрофируется, тогда стенка состоит только из соединительной ткани — ретенционная киста без эпителиальной выстилки.
Такая киста не изменяется под действием гормонов и не способна самоликвидироваться.
На УЗИ фолликулярные кисты чаще однокамерные, округлые или овальные, контур четкий и ровный, стенка очень тонкая (1-2 мм), содержимое анэхогенное, акустическое усиление позади; размер не более 10 см; по периферии можно увидеть нормальную ткань яичника.
Что делать с простыми кистами яичников
- Простые кисты до 3 см в репродуктивном возрасте являются нормой → не требуют наблюдения;
- Простые кисты до 7 см у молодых женщин → УЗИ-контроль после месячных;
- Простые кисты до 7 см в постменопаузе почти наверняка доброкачественные → УЗИ-наблюдение;
- Простые кисты более 7 см трудно полностью оценить с помощью УЗИ → рекомендуют МРТ.
Рисунок. Пациентка с жалобами на тянущие боли внизу живота. На УЗИ справа и слева от матки бессосудистое анэхогенное, тонкостенное образование с акустическим усилением позади, размер ≈30 мм; по периферии серповидной формы нормальная ткань яичника. Заключение: Фолликулярная киста в обоих яичниках. Через 6 недель кисты самоликвидировались.
Киста жёлтого тела на УЗИ
Киста желтого тела отличается от нормального желтого тела большим размером — до 4-5 см в диаметре. В стенке кисты желтого тела текалютеиновые и лютеиновые клетки. Лютеиновые клетки проходят все стадии развития желтого тела — пролиферация, васкуляризация, расцвет и обратное развитие. Таким образом, киста желтого тела является функционирующим кистозным желтым телом.
Рисунок. На УЗИ киста желтого тела имеет характерные признаки — толстая стенка и «огненное кольцо» при ЦДК (1, 2). Обратите внимание, на УЗИ киста желтого тела (2) и внематочная беременность (3) похожи.
Рисунок. На УЗИ в матке плодное яйцо (1). В левом яичнике анэхогенное образование округлой формы, с толстой стенкой (2). В правом яичнике анэхогенное, тонкостенное образование, овальной формы, размер ≈30 мм (3). Заключение: Беременность. Киста желтого тела в левом яичнике. Фолликулярная киста в правом яичнике.
Геморрагическая киста яичника на УЗИ
Геморрагическая киста яичника образуется при кровоизлиянии в фолликулярную кисту или желтое тело. Может быть острая боль внизу живота или бессимптомное течение. Большинство геморрагических кист самопроизвольно рассасываются перед или во время месячных.
Что делать с геморрагическими кистами яичников
- Бессимптомные геморрагические кисты менее 5 см у молодых женщин → не требуют наблюдения;
- Геморрагические кисты более 5 см у молодых женщин → УЗИ-контроль после месячных;
- Геморрагические кисты в ранней менопаузе и спустя 5 лет от последней менструации → рекомендуют МРТ.
Рисунок. На УЗИ геморрагические кисты яичников: однокамерное образование с гиперэхогенными включениями — мелкодисперсная взвесь (1), сетка из нитей фибрина (2); тромб может имитировать опухоль (3). Кровоток в просвете кисты всегда отсутствует.
Рисунок. На УЗИ геморрагические кисты яичников: иногда можно видеть уровни (1) и ажурную сетку из нитей фибрина (2). Геморрагическая киста желтого тела имеет толстую стенку и может походить на солидную опухоль, ЦДК покажет характерное «огненное кольцо» по периферии и отсутствие кровотока внутри (3).
Текалютеиновые кисты на УЗИ
Под влиянием большого количества хорионического гонадотропина (ХГ) нормальную паренхиму яичников практически полностью замещают кисты размером 10-40 мм. При исследовании под микроскопом находят атрезированные фолликулы в окружении текалютеиновых клеток.
Источник: https://karma-laws.ru/uzi-opisanie-jendometrioidnoj-kisty-jaichnika/
Что такое эндометриоидная киста яичников?

Эндометриоидная киста яичника представляет собой новообразование в виде полости, заполненное коричневой жидкостью, имеющую доброкачественную природу. Она может располагаться в любом месте как на самом яичнике, так и внутри его.
Стенки яичника могут срастаться со стенкой кисты, становясь общими, что вызывает сложность и коварство заболевания.
Наибольшее распространение это патологическое состояние встречается у пациенток детородного возраста, и тем самым может вызвать осложнения вплоть до бесплодия.
Размер эндометриоидной кисты яичника бывает весьма внушительным, в процессе своего развития она способна расти, приводя иногда к тяжелым последствиям. Во время своего роста киста яичника растягивает свои стенки, а ее содержимое постоянно возрастает.
Наступает момент, когда капсула способна порваться и ее содержимое попадает внутрь брюшной полости больной, причиняя сильную нестерпимую боль и возможное возникновение перитонита. Это состояние становится поводом для немедленного обращения к гинекологу и оттягивать этот визит недопустимо, так как наличие воспаления сопровождается нагноением.
Развитие не вызывающее осложнения, может сопровождать только функциональную кисту яичников.
Эндометриоидная киста яичника может иметь весьма печальные последствия, и даже перерождаться в онкологическую опухоль.
Последние несколько десятилетий лапароскопические операции по удалению эндометриоидной кисты яичника занимают первое место среди оперативных вмешательств по поводу гинекологических заболеваний.
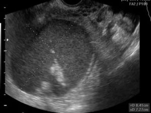
Киста на ультразвуковом исследовании
Во время проведения обследования эндометриоидной кисты на аппарате УЗИ, она представляет двухслойную капсулу с содержимым и напоминает кисту желтого тела. Это служит поводом к повторному исследованию, так как киста желтого тела, в отличие от эндометриоидной кисты яичника, способна рассасываться самостоятельно, не прибегая к лечению и избегая операции.
Состав эндометриоидной кисты яичника
Ткань эндометрия, выстилающая кистовую капсулу, вместе со слизистой матки принимает участие в процессе менструации. При этом выделенная кровь не выводится наружу, а наполняет капсулу. Со временем кровь в ней сгущается, входящее в ее состав железо подвергается окислительным процессам и приобретает темный цвет. За это свойство эндометриоидную кисту яичника называют шоколадной кистой.
Причины образования
Почему такое распространенное патологическое отклонение женских внутренних половых органов как эндометриоидная киста яичника начинает свое развитие, до сих пор не нашло точного определения.
Одним из основных мнений гинекологов считается то, что при менструации сгустки крови по какой-то неопределенной причине сливаются с клетками в эндометрии. Это соединение накапливается на яичниках и образует развивающуюся кистовую капсулу.
Помимо менструации, сгустки крови способны образоваться при проведении абортов, диагностических выскабливаниях, проведении хирургической операции на половых внутренних органах.
Существуют и несколько других версий, при которых эндометриоидная киста яичника способна начинать развитие:
- Врожденные патологии при формировании плода.
- Вредные привычки, употребление алкогольных напитков, курение, наркотические препараты.
- Гормональные отклонения иммунной системы.
- Повышенный уровень пролактина способствует образованию опухоли в яичниках.
- Болезни протекающие в надпочечниках и в щитовидной железе.
- Депрессии, стрессовые состояния.
- Нахождение ВМС в полости матки свыше положенного срока.
- Ожирение и излишний вес.
- Повышенный радиационный уровень способен вызывать развитие опухоли в различных органах женского организма.
Диагностика кисты
Для диагностики образования кисты, необходимо провести обследование, во время которого гинеколог определяет болезненность внизу живота или увеличение придатков.
Но убедиться в достоверности образования кистозной опухоли на яичнике возможно лишь проведя диагностику на УЗИ. Используя методы исследования материала, полученного пункцией влагалища, определяется наличие в нем крови.
Чаще всего к применению подобного метода прибегают при осложненном течении заболевания. Гинеколог назначает сдачу крови на онко — маркеры для того, чтобы исключить злокачественную природу опухоли, а также анализ гемоглобина в крови и на ее свертываемость.Обследование на МРТ позволяет дать оценку основным характеристикам опухоли, определить ее состояние, размер,строение, содержимое и влияние на близлежащие внутренние органы.
Лечение при эндометриоидной кисте яичника: применение лапароскопии
Современная гинекология сегодня располагает пока единственным методом лечения кисты яичника, который дает стопроцентную гарантию полученного эффекта от проводимого лечения. Этот метод представляет собой проведение хирургической операции по удалению опухоли с применением лапароскопии.
Подобная операция проводится под общей анестезией, тем самым полностью исключая боль при применении метода. Во время проведения, над яичником, где образовалась опухоль, делают надрезы, в один из которых вводят лазер которым проводится операция удаления опухоли.
Метод лечения с применением лапароскопии довольно безболезнен, обладает щадящим действием и его проведение не осложняется тяжелыми последствиями. Швы после небольших надрезов быстро зарастают и возвращают пациентку к полноценному существованию.
Полное восстановление в результате проведенной операции по удалению опухоли яичника происходит в течение двух недель. Своевременное проведение операции по удалению эндометриоидной кисты менее травматично, чем в случаях ее разрыва и перекрута.
Полноценные репродуктивные функции женского организма с возможностью забеременеть, полностью восстанавливаются лишь при удалении эндометриоидной кистозной опухоли при ранней диагностике. При проведении операции при запущенной опухоли на поздней стадии развития, чаще всего возникает бесплодие.
Хотя небольшие размеры опухоли не опасны для здоровья, эндометриоидную кисту яичников, образовавшуюся в женском организме, даже не подающую выраженных симптомов, лучше удалить, особенно если она сильно увеличивается в размерах.
Однако, в случае с молодыми девушками, которые не успели забеременеть и не рожали, применение метода лапароскопии не всегда оправдано и рискованно, так как может способствовать образованию спаек и привести к невозможности забеременеть.
Консервативные терапевтические методы лечения опухоли
В случае, когда появление опухоли спровоцировано изменениями гормонального фона, возможно отложить проведение операции и несколько месяцев провести лечение при помощи контрацептивных препаратов. Этот метод позволяет затормозить работу яичников, привести в норму гормональный фон и упорядочить менструальный цикл. Эти изменения, в свою очередь, способны уменьшить размер опухоли.
Иногда положительный эффект при отказе от операции, приносит лечение препаратами с содержанием прогестерона. Недостаток этого гормона в женском организме вызывает образование кисты. Прием подобных медицинских препаратов способствует уменьшению размера опухоли.
При лечении Дюфастоном — лекарственного средства с содержанием дидрогестерона(аналогичного прогестерону), происходит своевременная смена фаз менструального цикла, и не допускается разрастание эндометрия.
Применение этого препарата при эндометриоидной кисте предупреждает возникновение новых опухолей и применяется в сочетании с хирургическими методами лечения.Дозировка лекарства назначается врачом, прием осуществляется строго с предписанием и не превышая дозировку и длительность лечения.
Самостоятельный прием Дюфастона способно принести больше вреда, чем пользы, поэтому и начинать лечение и прекращать его необходимо только по указанию лечащего врача, особенно в случаях, когда во время курса терапии женщине удалось забеременеть. В подобных случаях врач предлагает схематичный вариант прекращения лечения. Отмена не должна быть резкой и проходить с постепенным снижением дозы.
В обычных случаях, если существует вероятность забеременеть, Дюфастон принимают до двенадцати недель, с последующим плавным снижением и полным прекращением.
Лечение народными средствами
Если заболевание не зашло далеко и не приняло хроническую форму, можно как один из возможных вариантов, попробовать применить народные методы лечения кисты. В этом случае можно воспользоваться медом, вставляемым во влагалище в виде тампонов.
Предлагается соединить в равных пропорциях мед с калиной, которая обладает мощными антибактериальными свойствами и принимать полученную смесь утром, на голодный желудок в течение трех-четырех месяцев.
Применение льняного масла благоприятно действует на организм в целом и способствует приведению гормонального фона в норму. Для этой цели, кстати, можно применять и отвар льняного семени. Перегородки взятые от грецкого ореха оказывает влияние на устранение гормонального дисбаланса.
В качестве эффективного средства при образовании кисты яичника применяют настои из боровой матки. Методы лечения эндометриоидной кисты яичников с помощью народных методов с применением лекарственных трав — вполне реальная задача.
Но главным условием в применении этого метода является своевременная диагностика и проведение грамотного лечения. В любом случае, при возникновении подозрений на образование эндометриоидной кисты левого или правого яичника, необходимо своевременно обратиться к специалисту и выполнять его предписания не затягивая лечения.
Чаще всего возникновение кисты яичников не считают опасным состоянием, и если и существует какая-либо угроза, то только в случае развития осложнений от ее присутствия.
Опасность представляет возможный перекрут ножки кисты, способный случиться в результате чрезмерного физического напряжения или во время слишком энергичных половых актов. При перекруте нарушается снабжение тканей, ограничивается кровоснабжение в части яичника.
Это приводит к некрозу тканей и считается тяжелым осложнением. Устранить развитие подобного патологического состояния возможно только при помощи хирургической операции.Источник: https://zaberemenetkak.ru/zhenskoe-besplodie/endometrioidnaya-kista-yaichnikov-foto.html
