Киста правого яичника и задержка
Почему нет менструации на фоне развития кисты на яичнике

Длительность менструального цикла составляет, как правило, от 23 до 35 дней.
Более короткие или длительные промежутки между первым днем кровотечения и последним днем перед началом следующей менструации являются поводом для тревоги и свидетельствуют о нарушениях в работе организма, конечно, при отрицательном результате теста на беременность. Довольно часто происходит задержка при кисте яичника. Причина заключается в избыточной выработке гормонов.
При наличии кисты яичника могут быть нарушения цикла
Что такое лютеиновая киста
Лютенома относится к числу доброкачественных новообразований. Однако это не значит, что о нем нужно забыть, игнорировать или отказаться от лечения. Его также называют кистозным образованием желтого тела и считают нормальным физиологическим явлением.
Лютеиновая киста чаще всего встречается на одном яичнике, например, только на левом либо на правом. На двух одновременно – очень редко. Основные симптомы при кисте желтого тела – белые выделения и задержка месячных.
Небольшое новообразование – до 3 см считается незначительным и, по мнению большинства врачей, не может повлиять на запоздание менструации. А через какое-то время возможно его полное самопроизвольное исчезновение. Хотя это не значит, что задержка месячных и киста желтого тела совершенно неопасны, и всегда проходят самостоятельно.
Иногда, при увеличении опухоли в размерах, у женщины могут возникать осложнения и требуется помощь специалистов.
Но куда большее опасение вызывает образование сразу нескольких кист такого рода – поликистоз.Он тоже может никак себя не проявить, у представительниц прекрасного пола менструация проходит по обычному графику, без опозданий.
А может вызывать серьезные нарушения работы мочеполовой системы: неожиданное обильное кровотечение, длительную задержку, сильные боли вследствие сдавливания в органах малого таза, железодефицитную анемию, онкологию.
На фоне кисты может быть резкая и сильная боль в низу живота
Что такое фолликулярная киста
Фолликулярная – киста, возникающая от фолликула, который не лопнул своевременно. Такие опухоли практически неопасны и после наступления месячных полностью рассасываются. Если же это не происходит, врачи назначают медикаментозное лечение, позволяющее быстро, эффективно справиться с таким кистозным образованием.
Фолликула может появляться, женщин в любом возрасте, даже у подростков и девушек, не имевших половых контактов с мужчинами. Внутри опухоли находится жидкость. Ее размер может варьироваться от 1–2 до 10 см.
Задержка месячных при фолликулярной кисте может длиться от 5 до 20 суток. Чаще всего их наступление сопровождается обильным и нередко довольно продолжительным кровотечением, но заканчивается, как правило, рассасыванием опухоли за несколько менструальных циклов.
Помимо того, что при кисте яичника может быть задержка, существуют другие симптомы заболевания, указанные в таблице.
| Запор | Ноющие боли внизу живота |
| Редкие/участившиеся мочеиспускания | Болезненные ощущения во время полового акта |
| Тошнота | Повышение температуры |
| Увеличение грудных желез | Усталость |
| Дискомфорт внизу живота | Холодное потоотделение |
| Боли в молочных железах | Некроз ткани |
| Белые выделения | Перекрут ножки кисты |
| Бледность кожи | |
| Кровотечение вследствие разрыва кисты | |
| Потеря сознания |
Как происходит образование кисты
Появление на яичнике лютеиновой кисты происходит после того, как яйцеклетка покидает фолликул, а на ее месте скапливаются клетки, создающие собой своего рода «желтое тело» и выделяющие прогестерон.
Чаще всего через какое-то время это «желтое тело» рассасывается, не создавая для женщины и ее организма никаких проблем. Но иногда этого не происходит и тогда фолликул превращается в кистозную опухоль.
Если желтое тело не покинуло яичник, то может образовываться фолликулярная киста
Фолликулярная киста образуется из-за закрепления в фолликуле (мешочке), который находится в яичнике, созревшей яйцеклетки. Мешочек остается закрытым, через какое-то время там появляется жидкость, которой становится все больше, он растягивается, превращаясь в опухоль.
Может ли киста спровоцировать задержку
Отсутствие менструации в положенное время и отрицательный тест – серьезный повод задуматься о причинах сбоя. Нередко ими становится кистозное заболевание. Но определить это смогут только врачи после проведения тщательного обследования.
Из-за кисты задержка месячных обусловлена нарушением гормонального фона. Новообразование способствует гиперпродукции эстрогенов, влияющих на течение критических дней.
Длительность задержки месячных при кисте яичников может составлять от нескольких суток до целого месяца. Все зависит от гормональной системы конкретной женщины, а также от размера опухоли и состояния организма в общем.
Как проходит диагностика
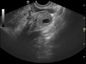
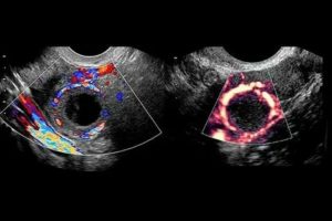
Врач может определить причину запоздания кровотечения уже на начальном этапе диагностики, во время обычного осмотра. Однако чтобы убедиться в точности поставленного предварительно диагноза дополнительно назначается УЗИ. С помощью ультразвукового исследования выявляется размер опухоли, ее локализация, делается предположение о типе новообразования и способе лечения.
Удаление кисты может быть проведено метолом лапараскопии
В некоторых случаях дополнительно назначаются:
- лапароскопия;
- анализы для определения уровня половых гормонов;
- КТ яичников;
- МРТ;
- анализы, позволяющие определить, доброкачественная или злокачественная опухоль;
- пункция дугласова кармана для выявления, есть ли внутреннее кровотечение и разрыв кисты.
После проведения всех процедур гинеколог назначает пациентке лечение.
Как происходит лечение
Врачи в первую очередь надеются, что кистозное образование рассосется самостоятельно во время критических дней. Но если менструации нет продолжительное время, появляются боли, дополнительные симптомы, женщинам назначается медикаментозная терапия гормонами. В каждом отдельном случае курс лечения составляется индивидуально.
В самых сложных случаях, например, когда открывается обильное кровотечение, требуется оперативное вмешательство по удалению опухоли.
Какие еще есть причины задержки
Киста и задержка месячных часто взаимосвязаны. Однако это не единственная причина несвоевременно начавшегося кровотечения.
В этом видео расскажут, почему начинается задержка из-за кисты яичника:
Среди наиболее распространенных факторов также выделяются:
- беременность;
- гинекологические заболевания (миома, воспаление придатков и другие);
- естественное или искусственное прерывание беременности;
- прием контрацептивов;
- чрезмерное похудение (диета) или набор веса;
- стресс, нервное напряжение;
- чрезмерная физическая усталость;
- эмоциональная перегрузка.
Источник: https://mesyachnie.com/zaderzhka/pri-kiste-jaichnika.html
Месячные при кисте яичника: задержка, боли, как выходит, сколько дней, удаление

Киста может рассосаться и выйти вместе с выделениями.
Киста яичника может появляться по разным причинам. Чаще всего ее формирование провоцирует неразорвавшаяся перед овуляцией яйцеклетка.
Такие новообразования часто доставляют неприятные ощущения пациенткам, мешают наступлению беременности и могут влиять на месячные. Боль и прочие симптомы увеличиваются при начале нового цикла. Киста перед месячными в некоторых случаях может рассосаться и выйти вместе с прочими выделениями.
Однако уплотнения большого размера требуют медикаментозного лечения или хирургического удаления.
Влияние кисты на менструацию
Опухоль яичников и задержка месячных связаны.
Кисты яичников и задержка месячных непосредственно связаны. Изменение характера месячных может происходить в двух направлениях.
Начало нового цикла откладывается, а после задержки (которая иногда достигает 1 месяца) выделения длятся дольше. Возможен и другой вариант – менструация скудная.
Это происходит при пониженном уровне женских гормонов.
Может быть задержка месячных из-за кисты?
Задержка месячных и киста яичника связаны, поскольку чаще всего опухоли имеют фолликулярное происхождение. Доброкачественная опухоль появляется, если яйцеклетка в срок не вышла из фолликула. В этом случае овуляция не наступает, потому период начала нового цикла сдвигается. Срок задержки составляет от 5 дней до месяца.
Срок задержки составляет от 5 дней до месяца.
Если фолликулярное образование не рассосалось самостоятельно, а увеличилось в размерах, при менструации отмечают следующие симптомы:
Фолликулярное образование.
- обильные выделения при кисте этого типа;
- длительность месячных (дольше, чем обычно);
- усиливаются болезненные ощущения;
- повышенное газообразование и чувство вздутия.
В некоторых случаях выделения, напротив, бывают скудными. Это происходит при сопутствующем гормональном дисбалансе и снижении уровня женских гормонов. Прислушивайтесь к своим ощущениям, поскольку в ряде случаев те же признаки могут предупреждать о внематочной беременности.
При ней плодное яйцо не опускается в матку, а остается в трубе.
Еще один тип кисты во время месячных – эндометриоидная. Она образуется, если клетки слизистой попадают в маточные трубы, яичники. В этом случае женщина сталкивается с некоторыми симптомами:
Месячные становятся болезненными.
- перед менструацией и после нее появляются мажущие выделения темного цвета;
- месячные становятся болезненными, обильными и продолжительными;
- ухудшается самочувствие, повышается температура;
- появляется тошнота или рвота;
- боль и скудные выделения во время полового акта.
Киста желтого тела тоже вызывает задержку месячных. Она появляется после овуляции и может самостоятельно рассасываться.
Как вызвать месячные при кисте яичника?
Когда менструальный цикл не начинается из-за доброкачественной опухоли, лечащий врач может подобрать препарат для нормализации гормонального фона. Существуют народные способы лечения, однако их применение необходимо согласовать со специалистом. Чтобы вызвать менструацию, используют одно из следующих средств:
Дюфастон или Утрожестан увеличивают уровень женских гормонов.
- Дюфастон или Утрожестан. Это гормональные препараты, которые увеличивают уровень женских гормонов, необходимых для созревания яйцеклетки. В течение короткого периода месячные начинаются;
- Дисменорм – гомеопатическое средство, которое содержит натуральные компоненты. Для нормализации цикла его требуется принимать регулярно и достаточно долго. После курса приема месячные становятся постоянными, проходят болезненные симптомы;
- витамины C и E. Они помогают усилить выработку гормонов, необходимых для правильного функционирования репродуктивной системы;
- отвар из семян петрушки или листьев крапивы содержит необходимые витамины и минералы, ускоряет процесс созревания яйцеклеток;
- оральные контрацептивы стабилизируют работу внутренних половых органов.
Может ли киста яичника выйти с месячными?
Чаще всего фолликулярные образования рассасываются самопроизвольно. Это происходит в 80% случаев. Женщина может даже не подозревать об их наличии. Иногда такое утолщение может лопнуть во время месячных. Остальные типы обычно требуют медикаментозного лечения или удаления хирургическим путем.
Как выходит киста яичника во время месячных?
Образование фолликулярного типа может самопроизвольно лопнуть и выйти при менструации. Самопроизвольное рассасывание характерно для тех случаев, когда использовались гормональные препараты. Чтобы определить, растворилось ли утолщение, следите за характером выделений. Если вы заметите большие сгустки, это будет признаком рассасывания капсулы с жидким содержимым.
Сгустки будут признаком рассасывания капсулы.
Остатки могут выйти при очередной менструации или в другой день цикла. Если это происходит при месячных, болезненные ощущения будут сильнее, чем всегда. После этого отмечается кратковременное уменьшение выделений и изменение их цвета на более светлый.
Нужно ли избавляться от кисты или она рассосется сама?
В большинстве случаев от новообразования необходимо избавляться. Чем больше оно увеличивается в размерах, тем более неприятные симптомы испытывает женщина. Опухоль 6 – 7 см сильно давит на внутренние органы, провоцирует боль, которая усиливается при любых движениях и даже при ходьбе.
Фолликулярное утолщение часто рассасывается самопроизвольно, поэтому требует наблюдения. Это касается и уплотнения желтого тела. Прочие разновидности требуют обязательного медикаментозного лечения либо удаления.
В качестве хирургического вмешательства используется лапароскопия.
В качестве основного метода хирургического вмешательства используется лапароскопия кисты яичника. Она предусматривает совершение небольшого разреза, через который удаляют капсулу вместе с содержимым. Период восстановления короткий, пациентка быстро возвращается к обычной жизни.
Врачи назначают гормональное лечение, если уплотнение не превышает 5 – 6 см. Решение о проведении операции принимают, исходя из индивидуальных особенностей конкретной пациентки.
Новообразования на внутренних половых органах нельзя оставлять без внимания. Задержка месячных и киста яичника тесно связаны. Для восстановления цикла необходимо избавиться от доброкачественной опухоли. Некоторые ее разновидности рассасываются самостоятельно, для лечения других применяют гормональную терапию или назначают операцию по удалению содержимого.
Источник: https://kistateka.ru/yaichniki/vliyanie-na-mesyachnye
Почему при кисте яичника нет месячных – влияние кисты на менструацию

Каждая женщина в своей жизни сталкивалась с нарушением менструального цикла. Почему бывает задержка месячных при кисте яичника? Есть ли взаимосвязь? Первое, что приходит в голову – беременность.
Проведя тест, и получив отрицательный результат, дамы действуют 2 способами. Первые успокаиваются и ждут наступления месячных.
Вторые отправляются к гинекологу выяснять причину задержки, что, несомненно, является правильным решением.
Киста яичника может появиться в любом возрасте с начала полового созревания. Иногда единственным признаком наличия кисты на яичнике является задержка месячных. Симптомы похожи с беременностью. Для ее исключения проводят тест.
Более тяжелые формы кисты сопровождаются болью, дискомфортом, ухудшением самочувствия. Киста яичника препятствует беременности, нарушает менструальный цикл.
Зачастую задержка месячных происходит по причине образования фолликулярной, лютеиновой кисты.
Виды новообразований, влияющих на менструацию
Фолликулярная киста – новообразование, что возникает из не лопнувшего своевременно фолликула. Распространенная причина задержки менструации у женщин любого возраста.
Яйцеклетка не выходит наружу, находится в оболочке, накапливает жидкость. В результате гормонально сбоя происходит задержка месячных. Менструация может начаться спустя 5-25 дней.
Симптомы кисты выглядят следующим образом:
- Наблюдается обильное кровотечение с болью в области яичников.
- Нарушается продолжительность. Менструация длится до 7 недель и более.
Через некоторое время киста исчезает самостоятельно. В большинстве случаев женщина вовсе не догадывается о ее существовании. Если киста на яичнике продолжает расти, требуется гормональная терапия. При таком диагнозе беременность не способна наступить.
Лютеиновая киста – образование на фоне деградирующего желтого тела. Начинается после выхода яйцеклетки из фолликула. Новообразование продуцирует повышение гормона гестагена, что не дает появиться менструации. Кроме задержки месячных признаком лютеиновой кисты являются:
- болезненность грудных желез;
- тошнота;
- боль внизу живота;
- все признаки ложной беременности.
Небольшая киста этого вида исчезает самостоятельно через несколько менструаций. Все это время женщину могут беспокоить:
- кровотечения в период между месячными;
- запор;
- частое болезненное мочеиспускание;
- дискомфорт в кишечнике;
- вздутие живота.
При разрыве кисты наблюдается сильная боль в области яичников, кровотечение, общее недомогание. Чтобы выяснить причину задержки менструаций следует изначально провести тест на беременность. Результат теста отрицательный – следует отправляться к гинекологу на прием.
Регулирование цикла при задержке месячных
Кистозные опухоли появляются вследствие неправильной работы яичников. Гормональный дисбаланс приводит к отклонениям, патологическим процессам в половой системе. Что является причиной задержки менструаций.
Чтобы избавиться от фолликулярной и лютеиновой кисты лечение проводят гормональными препаратами. Очень важно, чтобы терапия назначалась специалистами.
Поскольку неправильная дозировка гормонов может привести к ухудшению ситуации, усилению симптомов. Чаще всего назначают:
- Утрожестан;
- Дюфастон;
- Дисменорм.
А также витаминный комплекс с содержанием большого количества витамина С, Е. кистозные опухоли рассасываются постепенно. Месячные могут наступить в процессе приема препаратов. Тогда повторно сдают анализы на гормоны, проходят обследование. Врач вносит корректировку в лечение.
Менструальный цикл восстанавливается в течение 3 месяцев. Беременность может наступить после полноценного цикла с овуляцией. Симптом новообразования на яичниках проявляет себя, как ПМС.
Если ситуация повторяется, задержка присутствует 3 цикла подряд, тест на беременность дает отрицательный результат, есть повод для беспокойства.
Источник: https://moimesyachnye.ru/zaderzhka-pri-kiste-yaichnika.html
Может ли быть задержка месячных при кисте яичника: основные причины, диагностирование проблемы, лечение и профилактика гинекологических заболеваний

Каждая женщина в своей жизни сталкивалась с нарушением менструального цикла. Почему бывает задержка месячных при кисте яичника? Есть ли взаимосвязь? Первое, что приходит в голову – беременность.
Проведя тест, и получив отрицательный результат, дамы действуют 2 способами. Первые успокаиваются и ждут наступления месячных.
Вторые отправляются к гинекологу выяснять причину задержки, что, несомненно, является правильным решением.
Киста яичника может появиться в любом возрасте с начала полового созревания. Иногда единственным признаком наличия кисты на яичнике является задержка месячных. Симптомы похожи с беременностью. Для ее исключения проводят тест.
Более тяжелые формы кисты сопровождаются болью, дискомфортом, ухудшением самочувствия. Киста яичника препятствует беременности, нарушает менструальный цикл.
Зачастую задержка месячных происходит по причине образования фолликулярной, лютеиновой кисты.
Может ли быть задержка месячных из за кисты яичника?
Каждая женщина в течение своей жизни хотя бы один раз, но сталкивается с проблемами нарушения менструального цикла. Однако, далеко не каждая из них знает, может ли быть задержка месячных из-за кист яичника. Поэтому самое первое, о чем они думают, что наступила беременность.
Для этого женщины проводят тест на беременность. После чего не получив положительный результат, могут действовать несколькими способами. Так, первые просто успокаиваются и ждут, когда же начнутся месячные. Что касается вторых, то они сразу обращаются к врачам для выяснения, в чем же состоит причина задержки месячных. Последний способ поведения является правильным.
Киста яичника может появиться у представительницы слабого пола абсолютно в любом её возрасте, начиная с раннего полового созревания. В некоторых случаях главным признаком, указывающим на наличие недуга, считается именно задержка месячных при кисте яичника.
По большому счету, симптомы имеют очень большую схожесть с беременностью, поэтому необходим тест, чтобы исключить возможность её наличия. Когда присутствуют тяжелые формы патологии, они проявляются болью, дискомфортом и иными ухудшениями самочувствия. К тому же, могут произойти задержки из-за кисты, и она мешает наступлению беременности.
Виды патологий и задержка
Из-за того, что своевременно не лопнул фолликул, происходит развитие фолликулярной кисты. Именно она является главной причиной, из-за которой происходят задержки менструаций у большинства женщин.
Это обусловлено тем, что яйцеклетка не может выйти наружу, поэтому продолжает находиться внутри оболочки, за счет чего со временем там продолжается накопление жидкости. Такая ситуация случается из-за гормонального сбоя в организме.
Обычно менструации сдвигаются на срок, достигающий иногда 2-5 дней.
Основные симптомы при фолликулярной кисте — это:
- Происходящие сильные кровяные выделения с болью в районе яичников;
- Патологически изменяется продолжительность цикла, порой он длится до 7 недель.
Спустя определенное время, аномалия самостоятельно исчезает. Хотя чаще всего женщины даже не догадываются о наличии у них такой образований. В том случае, когда киста начнет расти, потребуется проведение гормональной терапии. Значительные размеры патологии будут мешать наступлению беременности.
Что касается лютеинового образования, то оно появляется при кисте желтого тела. Процесс формирования начинается, когда яйцеклетка вышла из фолликула. Такая аномалия продуцирует чрезмерное количество гестагена, из-за чего не может произойти менструация. Присутствие кисты яичника и задержка месячных, также могут сопровождаться следующими признаками:
- Появляется тошнота;
- Болезненные ощущения в груди;
- Боль внизу живота;
- Признаки ложной беременности.
- Незначительные аномалии самостоятельно исчезают, по пришествие двух или трех менструаций. В это время женщину могут беспокоить следующие проявления:
- Дискомфорт в кишечнике;
- Появление кровотечения вне менструального периода;
- Проблемное мочеиспускание (часто и с болевыми ощущениями);
- Различные дизурические проявления.
Киста и менструации
Сразу стоит отметить, что наличие кистозных образований имеют самую прямую связь с менструацией. Причиной тому то, что яйцеклетка, оставаясь внутри оболочки, является причиной повышения гормонов, которые мешают её наступлению. Зачастую месячные начинают задерживаться на срок, достигающий порой 25 дней. Из-за ненаступившей овуляции происходит нарушение всего цикла.
Забеременеть в этом случае невозможно, в связи с недоразвитой яйцеклеткой. Незначительные по своим размерам кисты после месячных практически сразу исчезают, но под воздействием гормонов она может начать расти в своих размерах. Когда такие патологии достигают размеров 5 см, они начинают проявляться следующим образом:
- Сильные выделения во время месячных;
- Длительность периода менструация больше недели;
- Сильная боль;
- Появляются белые выделения в течение всего цикла;
- Менструация может быть скудной, из-за нарушения баланса основных половых гормонов.
Обычно женщина ощущает боль ноющего, а также схваткообразного характера в районе, где находится образование. Это чувство будет только усиливаться в процессе полового акта. А если происходит перекрут ножки, то это приводит к более сильным проявлениям симптомов.
Также, присутствие кисты и задержка месячных делает практически невозможным установление момента овуляции. К тому же беременность не может наступить, ни в какой из фаз цикла. При гормональном дисбалансе также можно получить положительный результат теста на беременность.
Регулировка цикла в случае задержки месячных
Такие кистозные образования появляются из-за наличия нарушения функционирования яичников.
Это обусловлено гормональным дисбалансом, который и является основной причиной патологических отклонений и различных процессов, происходящих в женской половой системе, из-за чего и происходит сама задержка менструации.
Для нормализации функционирования репродуктивной системы, необходимо провести гормональную терапию, которая позволит избавиться от аномальных образований.
Но назначать её должен только врач, ведь самолечение может только усугубить ситуацию. После установления того, что именно было причиной задержки, врачи назначают прием следующих препаратов:
- Утрожестан;
- Дюфастон;
- Дисменорм.
При этом назначается еще и прием витаминного комплекса, который имеет большое количество именно витаминов категории С и Е. Процесс рассасывания кистозных патологий происходит постепенно и плавно.
Именно поэтому месячные могут начаться, даже пока будет идти лечебная терапия, после чего назначается повторная сдача анализов на гормоны и проводится обследование органов. Обычно менструальный цикл приводится в норму за 3 месяца, а вот забеременеть женщина может сразу после начала цикла с нормальной овуляцией.
Источник:
Может ли киста яичника спровоцировать задержку месячных?
У здоровой женщины репродуктивного возраста менструальный цикл варьируется в промежутке 21-35 дней. Месячные должны носить регулярный характер.
Если в положенный срок они отсутствуют, это говорит о беременности или нарушении работы внутренних органов и гормональном сбое. Нередко встречается задержка месячных при кисте яичника.
Важно понимать, о чем говорит данный симптом, и какие действия предпринять, если у вас диагностировано новообразование правого или левого яичника.
Киста влияет на менструацию, если она является функциональной (фолликулярной или лютеиновой). При овариальных образованиях менструальный цикл практически никогда не задерживается.Как только вы заметите задержку, надо сделать тест на беременность. Получив отрицательный результат, следует сразу посетить гинеколога и пройти обследование.
Только врач может назначить грамотное лечение и определить, можно ли обойтись без оперативного вмешательства.
Фолликулярная киста и месячные
Фолликулярная киста и задержка месячных взаимосвязаны, ведь данный вид новообразования возникает из-за не лопнувшего вовремя фолликула. Они абсолютно безвредны, и при грамотном лечении быстро проходят.
Источник: https://rdbkomi.ru/zabolevaniya/mozhet-li-byt-zaderzhka-mesyachnyh-pri-kiste-yaichnika.html
Задержка при кисте яичника

Сбои менструального цикла вполне обычное явление, если наблюдается кистозное заболевание. Задержка месячных при кисте яичника вызвана в первую очередь избыточной выработкой гормонов.
Многие женщины, из тех, кто сталкивался с таким заболеванием, уже знают, что в большинстве случаев киста рассасывается самостоятельно и цикла восстанавливает по истечении 2 – 3 месяцев.
Но это не аксиома, ведь само по себе заболевание имеет разные формы и причины, а также сопутствующие симптомы.
Самый распространенный вопрос, на сколько дней может задерживаться менструация при кисте? Стоит отметить, что задержка месячных дольше 5 суток – уже повод обратиться к врачу-гинекологу.
Киста может нарушить менструальный цикл на срок от 5 до 25 дней, в некоторых случаях срок увеличивается до 2 – 3 месяцев. Если факт наличия кисты установлен специалистом, то необходимо следовать рекомендация.
Как правило, врач рекомендует повременить с лечением и следит за развитием новообразования.
Что такое киста яичника и как она образуется?
Кистозное заболевание – это доброкачественная опухоль, которая образуется вследствие влияния различных факторов. Она может быть расположена снаружи или внутри яичника и представляет собой мешочек, наполненный жидкостью. Не всегда это является серьезным заболеванием, хоть за ней и необходимо следить.
Если образование вызвано нарушением работы внутренних органов, а точнее – сбоем в работе яичников, то такая киста называется «функциональной», потому что ее появление вызвано нестабильным функционированием. Такая киста способна влиять на регулярность менструального цикла.
- Фолликулярная киста. В процессе менструального цикла на яичнике образуется фолликул, в котором развиваются яйцеклетки. Во время овуляции яйцеклетка его покидает, что нередко сопровождается несущественными болевыми ощущениями. Но если оболочка не прорывается, яйцеклетка не может выйти и в фолликуле скапливается жидкость. Задержка месячных вызвана нарушением гормонального цикла и может продлиться от 5 до трех недель.
- Лютеиновая киста (Киста желтого тела). Такой тип образования может содержать кровь. Когда яйцеклетка покидает фолликул, новообразование стимулирует выработку гормона «прогестерон», что и является причиной задержки.
Кистозное заболевание, как правило, характеризуется наличием различных сопутствующих симптомов. Так, при фолликулярном образовании наблюдается сбой продолжительности менструации (до 7 дней), а также регулярные задержки. Кровотечение при таком заболевании обильное и сопровождается болью в яичниках.
При наличии лютеиновой кисты симптомы несколько отличаются:
- Боли в области молочных желез;
- Тянущая боль в нижней части живота;
- Тошнота;
- Различные признаки ложной беременности.
Существуют и иные формы заболевания, при которых не наблюдается никаких симптомов, что числе менструация не задерживается, и цикл не нарушается:
- Дермоидная;
- Параовариальная киста образуется из придатков, которые находятся над органом. Такая форма заболевания наблюдается у пациенток в возрасте от 20 до 40 лет, опухоль имеет овальную форму и покрыта сеткой мелких сосудов. Яичники в патологию не вовлекаются.
- Эндометриоидная, как правило, характеризуется наличие очагов.
- Муциозная киста способна увеличиваться до больших размеров или перейти в злокачественную опухоль.
При такой форме кистозного заболевания возможна и задержка цикла, но таким образом киста проявляется довольно редко.
Диагностика и лечение
Часто задержка месячных является единственным сигналом развития кисты на яичниках. Установить наличие данного заболевания только по симптомам невозможно, необходимо ультразвуковое обследование. Врач-гинеколог определяет природу появления новообразования, выписывает направление на анализы, а также назначает необходимое лечение.
Новообразование, вызванное дисфункцией, необходимо регулярно наблюдать. Чаще всего киста рассасывается и исчезает естественным путем.
Когда заболевание вызывает серьезные задержки менструации либо сопровождается различными болевыми ощущениями и симптомами прописывается медикаментозное лечение. Специалист назначает гормональные препараты, применяемые по индивидуальной схеме.
В сложных случаях кисту удаляют оперативным способом, после чего пациентке необходим небольшой курс восстановления.
Независимо от вида кистозного заболевания и причин его появления важно незамедлительно обращаться в женскую консультацию. Вероятно, что киста исчезнет бесследно, но бывают и серьезные проблемы, когда новообразование прокручивается, негативно влияет на кровообращение. Во избежание развития сопутствующих болезней или ухудшения самочувствия крайне не рекомендуется прибегать к самолечению.
Положительный тест на беременность
Чтобы не создавалось непонимания и ошибочных мнений, по каким причинам тест на беременность показывает положительный результат, важно знать все причины такого явления. Далеко не всегда это означает факт беременности, ведь в некоторых ситуациях женщина может быть уверена в отсутствии беременности, а тест показывает обратное.
Итак, какие существуют причины:
- Неправильное использование теста на беременность. Используйте как минимум 3 теста с небольшой разницей во времени – сутки ли двое.
- Непригодный тест, на то указывает истечения срока годности, деформированная упаковка, нарушение правил хранения.
- Тестирование по прошествие малого промежутка времени, после совершения полового акта также может показывать положительный результат.
- Применение различных противозачаточных таблеток или препаратов.
- Нестабильный менструальный цикл редко показывает правильный результат, если сбои наблюдаются регулярно, то использование теста бессмысленно.
- Патология или дисфункция работы яичников.
- При внематочной беременности тестирование также указывает на беременность, но не устанавливает факт патологии.
Может ли кистозное новообразование вводить в заблуждение и указывать ложноположительный результат? Можно сделать вывод, что наличие кисты яичника не влияет на результат тестирования на беременность, но может быть с этим связан, например, когда кистозное заболевание имеет функциональную природу наряду с серьезной патологией яичников.
Причины задержки месячных
Менструальный цикл – это периодический процесс репродуктивной функции женского организма. Нормальная продолжительность цикла варьируется от 21 до 35 дней, в зависимости от индивидуальных особенностей. Средним сроком принято считать 28 суток, а отсчет начинается в первого дня месячных.
Но более важным моментом считает регулярность. Первые 1 – 2 года периодичность может нарушаться, это считается нормальным. Гормональный баланс девушки только начинает устанавливаться. В более зрелом, или даже «опытном» возрасте задержка месячных является неблагоприятным факторов.
Стоит рассмотреть различные причины задержки менструации, чтобы полностью понимать, является ли это симптомом образования кисты или это вызвано другими факторами:
- Дисфункция яичников не является конкретным заболевание, это – факт нерегулярности менструального цикла. А вот чем конкретно вызвана нестабильная работа яичников, выяснит специалист после осмотра и диагностики.
- Перенапряжение, стресс или невроз дают мозгу сигнал, что обстановка для рождения потомства неблагоприятна, в связи с чем организм дает ответную реакцию, что выражается в нестабильности месячных. Здесь простым и доступным решением станет полноценный сон, отдых. А при необходимости – визит к психологу.
- Физические нагрузки способны зарядить энергией и оздоровить организм, но при чрезмерном физическом труде, в том числе усиленных тренировках, специфике работы, менструальный цикл может нарушиться. Но стоит понимать, что речь идет именно об избытке физических нагрузок, а не о фитнесе или утренних пробежках.
- Акклиматизация нередко становится стрессом для организма. Резкая смена климата, излишнее пребывание на солнце, злоупотребление солярием – все это может задержать месячные. Важно следить за организмом и помнить, что все хорошо в меру.
- Избыточный вес. Подкожный жир накапливает не только шлаки, но и женские гормоны, что приводит к гормональному дисбалансу. Естественно, это приводит задержке.
- Интоксикация организма – это может происходить при злоупотреблении табаком, алкоголем, наркотическими средствами, а также приемом лекарственных препаратов или работой на химических предприятиях.
- Наследственность редко сказывается на регулярности цикла, но подобные факты все же были установлены. Мог ли повлиять подобный факт или нет, подскажут близкие родственники: мама, бабушка или сестра.
- Гинекологические заболевания. Важно понимать, что точно установить, какое заболевание вызывает сбой цикла возможно только при личной консультации. В качестве общей информации можно выделить такие болезни, как опухолевые заболевания, воспалительные процессы, инфекционные заболевания, неправильно установленная спираль.
Существуют и другие, более редки причины, которые выражаются с нестабильности менструального цикла, выше перечислены лишь самые распространенные.
Источник: http://GormonOff.com/zabolevanija/reproductive/zaderzhka-pri-kiste-yaichnika
