Лечение после выскабливания: железисто-фиброзный полип эндометрия
Схема лечения фиброзно-железистого полипа эндометрия

Полипами матки называют доброкачественные образования эндометрия во внутренней полости матки.
Они возникают по разным причинам у женщин в любом возрасте.
Кроме медикаментозной терапии при полипах матки можно использовать и народные средства.
Что это такое?
Железисто-фиброзным полипом эндометрия называют доброкачественное образование на слизистой оболочке матки. Он образуется в результате разрастания внутреннего слоя матки и чаще всего появляется у женщин детородного возраста или в менопаузе.
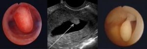
По внешнему виду железисто-фиброзный полип имеет вид образования розового или бордового цвета, расположенного в матке. Оно состоит из тела и ножки с кровеносными сосудами. Полип может иметь разнообразную форму: округлую, грибовидную, на тоненькой ножке, на широком основании.
Размеры и количество таких образований могут быть самыми разными. В полипах могут происходить процессы воспаления, нарушения кровообращения, а также омертвение или некроз.
Если железисто-фиброзный полип эндометрия становится аденоматозным, то его можно считать фактически признаком рака. То же самое можно сказать, если в новообразовании имеются атипичные клетки.Но озлокачествление подобных образований происходит только в 2% случаев.
Причины возникновения
К появлению полипов приводят несколько факторов:
- недостаток гормона прогестерона и избыточное количество эстрогена, что приводит к ускоренному разрастанию эндометрия;
- ожирение, гипертоническая болезнь, сахарный диабет, в результате которых нарушается кровообращение в капиллярах, начинается кислородное голодание и усиленное деление клеток;
- аборты, которые являются травмирующими медицинскими манипуляциями;
- использование внутриматочной спирали;
- снижение иммунитета;
- воспалительные заболевания матки и яичников;
- постоянные стрессы;
- закупорка и разрастание сосудов в матке;
- разрастание эндометрия, что часто связано с болезнями эндокринной системы;
- большая масса тела, что приводит к нарушению обмена веществ, избытку эстрогенов и образованию полипов;
- передача заболевания по наследству от матери к дочери;
- низкая физическая активность, приводящая к застою крови в органах малого таза и повышенному делению клеток эндометрия;
- прием некоторых лекарств для лечения онкологических заболеваний;
- сгустки плаценты, которая не вышла после родов, позже превращаются в соединительную ткань полипа.
Симптомы и диагностика
Практически полное отсутствие симптомов характерно для начальной стадии заболевания. Выявить полипы небольшого размера можно только во время ультразвукового обследования. Постепенно могут появиться и следующие признаки полипа эндометрия:
- кровянистые выделения после полового акта и боль во время него;
- обильные менструации и нарушения менструального цикла, особенно, у молодых женщин;
- бели;
- мажущие выделения после нагрузок и стрессов;
- бесплодие;
- мажущие кровянистые выделения без менструации;
- обильные кровопотери сопровождаются развитием малокровия, бледностью кожных покровов, слабостью и головокружениями;
- схваткообразные боли внизу живота;
- преждевременные роды и выкидыш.
Эндометриоидные полипы обычно обнаруживают во время проведения профилактического гинекологического осмотра с помощью зеркал. Также в диагностике полипов требуется проведение УЗИ органов малого таза.
Врачи констатируют утолщение слоя эндометрия, разрастание слизистой оболочки, расширение полости матки. Но полипы с железистой структурой не всегда заметны на УЗИ, поскольку по своему внешнему виду напоминают эндометрий. Также сложно отличить полип и миому во время этого обследования.
Гистероскопия матки дает возможность уточнить диагноз и повышает достоверность диагностики до 97%. Эта методика позволяет увидеть всю маточную полость и имеющиеся в ней образования. При гистероскопии требуется общий наркоз, так как матка обследуется с помощью гистероскопа, а после него происходит удаление образования.
Удаленный полип передается в лабораторию для дальнейшего исследования. Место расположения полипа прижигают путем электрокоагуляции или лазером, что позволяет уменьшить риск рецидива заболевания.
Кроме того, часто применяется метрография-рентгенография, в ходе которой в маточную полость вводится специальное вещество. В результате использования рентгеновских лучей можно увидеть все имеющиеся уплотнения.
Перед хирургическим удалением полипов делают мазки для проведения онкоцитологического, микроскопического и бактериологического исследования. Таким образом, можно выявить скрытые половые инфекции.
Аптечные лекарства
Если удалить полипы с помощью хирургического вмешательства не представляется возможным, то назначается их медикаментозное лечение. В результате этого образование может уменьшиться в размерах или исчезнуть совсем. Такое лечение оправданно, в частности, в молодом возрасте. Все лекарственные средства врач подбирает индивидуально.
До 35 лет обычно рекомендуются оральные контрацептивы, например, Регулон или Ярина. Их нужно пить по определенной схеме в течение длительного времени. После 35 летнего возраста женщинам назначают гестагены: Дюфастон, Норколут и другие. Когда полипы образуются в результате воспалительного процесса, назначаются антибактериальные препараты: Мономицин, Гентамицин и другие.
В климактерическом периоде врачи рекомендуют принимать Диферелин, Золадекс, которые защищают матку от негативного воздействия эстрогенов.
В симптоматической терапии используются болеутоляющие препараты, в частности, Диклофенак и Парацетамол, но короткое время, так как они приводят к развитию заболеваний ЖКТ.
При обильных менструациях женщинам назначают для подмывания антисептические растворы: Септадин, Колларгол для подмываний.
Народные средства
Прежде, чем приступать к лечению народными средствами, нужно провести гистологическое исследование новообразования. При аденоматозных полипах нельзя применять народные методы. Любое новообразование может легко перерасти в онкологию, причем даже у молодых женщин, что потребует его срочного удаления.
После операции можно по рекомендации врача использовать различные народные средства, чтобы поддержать иммунитет и гормональный баланс. Но растительные препараты могут иметь различные побочные действия и противопоказания, что также нужно учитывать. Вначале лечения следует сдать анализы на гормональный фон и пить травы по схемам фитотерапевта.
Рецепты:
- чеснок в марле в виде компресса вводят глубоко во влагалище на ночь. Такую процедуру нужно делать не менее месяца;
- крутые желтки и свежие тыквенные семечки смешивают с растительным маслом и нагревают на водяной бане. Принимают средство по утрам на голодный желудок до полного выздоровления.
- прополис является биологически активным средством, которое можно назначать даже беременным женщинам. Из прополиса делают лечебные тампоны, которые вводят во влагалище на ночь.
Лекарственные травы:
- настойка золотого уса на водке принимается до еды;
- спринцевания с помощью чистотела, но строго по рекомендации врача;
- настойка на спирте растения витекса священного принимают до еды;
- настой крапивы, шиповника, брусники принимают несколько раз в день.
Операции
Самым распространенным методом лечения полипов является хирургическая резекция и выскабливание слизистой оболочки матки.
Для снижения риска развития осложнений место удаления полипа обрабатывают с помощью жидкого азота.
В течение нескольких дней у женщины могут быть спазматические боли и кровянистые мажущие выделения. Для восстановления менструального цикла и предотвращения рецидива заболевания назначается гормональная терапия.
С помощью лазерного удаления полипов на матке не остается шрамов и рубцов. Кроме того, женщины полностью сохраняют свою репродуктивную функцию. Для проведения этой процедуры госпитализации также не требуется, поэтому спустя несколько часов можно идти домой.
Лазерное лечение характеризуется отсутствием кровотечения, быстрым восстановлением тканей и мгновенным запаиванием сосудов. Через 6 месяцев после проведенного вмешательства женщина может планировать беременность.
Каждая женщина, у которой было обнаружено данное заболевание, должна соблюдать здоровый образ жизни и отказаться от всех вредных привычек. Кроме того, врачи рекомендуют в таком случае сохранять спокойствие и исключить все возможные стрессы.
Что делать не рекомендуется?
После того, как будет удален полип шейки матки, важно придерживаться следующих рекомендаций:
- исключить тяжелый физический труд;
- отказаться от активного спорта;
- не заниматься сексом около месяца;
- не делать спринцевания;
- нельзя принимать горячую ванну или ходить в баню;
- запрещено принимать ацетилсалициловую кислоту, так как она усиливает кровотечение;
Профилактические меры
- Ведение активной жизни;
- постоянные профилактические осмотры;
- один половой партнер;
- лечение любых инфекций мочеполовой системы вовремя;
- отказ от абортов и выскабливаний, чтобы избежать травматизации слизистых оболочек матки.
В результате этого уменьшится риск разрастания эндометрия и исчезнет необходимость в хирургическом вмешательстве.
Отзывы пациенток
- Я лечилась чистотелом, календулой и зверобоем, которые брала в равной пропорции. Делала из них настой и потом использовала для спринцевания. Хорошо помогает при полипах в матке.
- Мне убирали большой полип в матке хирурги, причем анестезия подбиралась с учетом особенностей моего организма.
- Мне врач назначила пить Линдинет целый год, чтобы восстановить гормональный фон. Так и лечусь, удалять полипы пока не собираюсь.
Железисто-фиброзный полип эндометрия носит доброкачественный характер, но рекомендуется многими врачами гинекологами к удалению, так как является предраковым состоянием.
Поэтому при любом лечении полипов нужно пройти обязательное медицинское обследование и проконсультироваться с гинекологом.
Источник: https://lechimdoma.com/bolezni/zhenskie/fibrozno-zhelezistyj-polip-endometriya.html
Железисто-фиброзный полип: лечение после удаления его фрагмента эндометрия без атипии и отзывы об этом или признаки его появления

Опухоли во внутренних органах доброкачественной природы образуются незаметно для пациентов и зачастую долго протекают бессимптомно.
Первые признаки появляются при разрастании измененной ткани, сдавлении нароста, перерождении в рак. Часто у женщин обнаруживают полипы эндометрия, в том числе железисто-фиброзные.
Общая характеристика патологии
Болезнь требует адекватного лечения, иначе увеличится риск развития осложнений.
Железисто-фиброзный полип эндометрия — опухолевидное образование, которое формируется на слизистой матки и состоит из железистых клеток и соединительной ткани.
Заболевание неопасно, но при отсутствии терапии и игнорировании симптомов приводит к последствиям. Может возникнуть в любом возрасте, но чаще с патологий сталкиваются женщины в период климакса.
Наросты обладают небольшим размером (но могут сильно разрастаться). Это гладкая субстанция розового цвета. Имеет строму и тело. Располагается на тонкой ножке или на широком основании.Второй тип больше склонен к малигнизации. В ножке много кровеносных сосудов, снабжающих его для роста. Полипы с железисто-фиброзной структурой бывают единичными и множественными.
Классификация
Полость матки выстлана двумя разновидностями тканей, которым, по данным гистологии, соответствуют типы полипов: функциональным и базальным. Первый считается гормонозависимым, циклично заменяющимся. Второй не зависит от гормонов. Это основа во время месячных. Исходя из этого железисто фиброзные полипы бывают базальными и функциональными.
Функциональный тип
Возникновение нароста провоцируется действием гормонов. Из-за недостатка прогестерона и излишка эстрогена создается благотворная почва для формирования полипа. Опухоль растет прямо из эндометрия.
Когда при активной овуляции не происходит оплодотворение, клетки функционального слоя эндометрия выходят вместе с менструальной кровью. При недостаточном отслоении остатки эндометрия образуют основу для будущей опухоли. Таким способом, постепенно формируется полип. С каждым циклом нарост видоизменяется вместе с функциональной прослойкой.
Железисто фиброзные образования по этому типу не достигают больших размеров, но они быстро распространяются и локализуются зачастую группами. Патология очень редко сопровождается какими–либо проявлениями. Фиброзные опухоли функционального типа обнаруживаются зачастую при проведении УЗИ.
Базальный тип
Наросты из клеток базального слоя располагаются на тонкой ножке. Характерная черта полипа – наличие сосудов. Состоит из железистой ткани и мышечных волокон. Фиброзные опухоли этого типа отличаются зрелым строением, многообразием морфологических вариантов. Локализуются неравномерно, хаотично.
Возникает патология зачастую на фоне стабильной слизистой у здоровых женщин. Нередко диагностируется при климаксе.
Отличается нефункциональностью клеток эпителия, отсутствием гормональной зависимости от месячных. Бывают полипы:
- Индифферентными. Характеризуются увеличением количества нейтральных клеток.
- Пролиферативными. Сопровождаются гиперплазией эндометрия. Часто воспаляются.
- Гиперпластичными. Характеризуются разрастанием внутренних клеток, формированием “подоснования” базальной стромы.
Симптомы
Проявления фиброзно железистого полипа эндометрия возникают не всегда. Часто течение болезни скрытое. Только при увеличении размера, сдавливании или травмировании нароста могут появиться признаки. Интенсивность симптоматики зависит от диаметра и локализации опухоли. Патология сопровождается:
- расстройством менструального цикла;
- обильными кровотечениями во время месячных;
- болевыми ощущениями при интимной близости;
- дискомфортом внизу живота;
- ранним прерыванием беременности;
- слизистыми выделениями.
Возникновение сильных болей, которые отдают в ноги, спину, может указывать на трансформацию полипа в рак. Малигнизация клеток вместе с врастанием внутрь слизистых сигнализирует о том, что образование метастазирует.
Возможные осложнения
При появлении тревожных признаков болезни необходимо обратиться в больницу, пройти обследование и терапию. Даже малейшее промедление с лечением (особенно при выраженном клиническом течении), отказ от операции или приема медикаментов чреват:
- Перерождением доброкачественного фиброзного нароста в рак. При атипии эндометрия возникает угроза здоровью пациентки.
- Ухудшением качества интимной жизни. При увеличенном образовании женщина сталкивается с болями при половом контакте и после него. Происходит потеря интереса к сексу (девушка пытается избежать дискомфорта).
- Невозможностью зачать малыша. Из-за сильного увеличения железисто-фиброзные полипы перекрывают шейку матки. На фоне изменения эндометрия, яйцеклетка не сможет прикрепиться к слизистой.
- Невынашиванием плода. Деформированная фиброзной опухолью ткань не способна удержать растущего малыша. Патология сопровождается кровотечениями, которые приводят к отслойке детского места.
- Нарушениями менструального цикла. Из-за гормонального дисбаланса происходит сбой месячных. Они становятся нерегулярными, сопровождаются выраженной болью. Кровотечения при фиброзном наросте обильные.
- Анемией. Из-за потерь крови женщина сталкивается с недомоганием, понижением защитных свойств организма.
Железисто фиброзные образования, которые протекают по функциональному типу, могут разрастаться. Множественные наросты лечить сложнее.
Диагностика
Когда отмечается появление симптомов фиброзного полипа, нужно обратиться к доктору. Патология, если медлить с ее лечением, приводит к неприятным осложнениям. Чтобы назначить правильную терапию, необходимо дифференцировать полипоз от иных болезней. Во время диагностики, врач, помимо сбора жалоб и анамнеза, а аще осмотра на кресле, назначает проведение:
- УЗИ. Безопасный метод, позволяющий вовремя обнаружить любые изменения в оболочке (утолщение, расширение). Дополнительно можно изучить состояние фаллопиевых труб и яичников.
- Гистеросонографии. Более точная методика ультразвукового исследования, которая заключается во введении в матку физраствора.
- Кольпоскопии. Благодаря визуализации обнаруживаются любые отклонения в эндометрии.
- Метрографии. Увидеть нарост можно под действием рентгеновских лучей.
- Гистероскопии. Самый информативный метод. Процедуру проводят зачастую в комплексе с выскабливанием. В ходе изучения полипа делают биопсию.
- Лабораторных исследований — мазка на флору, бактериологического посева из цервикального канала, анализов на половые инфекции.
- Анализа крови для определения концентрации гормонов.
Методы лечения
Терапия патологии бывает консервативной и радикальной. Часто железисто фиброзный полип лечат комплексно, сначала нарост удаляют, а потом назначают прием препаратов для восстановления организма и заживления тканей, а еще предупреждения рецидива.
Медикаментозные
Если полип небольшой, не вызывает болей и иных симптомов, хирургическое вмешательство не требуется. При гормональном дисбалансе назначается прием стероидов.
Есть случаи, когда иссечение полипа противопоказано. Один из таких — детский возраст. Патология может возникнуть даже у 10-летней девочки, для которой операция нежелательна.
Женщинам до 35, показано применение оральных контрацептивов. Схема и длительность курса определяется врачом.
Таблица — Медикаментозная терапия фиброзных полипов
| Препараты | Эффект/свойства |
Гестагены:
| Стабилизируют гормональный фон, останавливают рост опухоли. Нередко под воздействием гестагенов, образования рассасываются |
| Антибиотики: | Уничтожают патогенную микрофлору |
Болеутоляющие:
| Устраняют неприятные ощущения |
Когда после лекарственной терапии не видно положительной динамики, назначают операцию.
Хирургические
Если фиброзные полипы крупные, множественные и сопровождаются выраженной симптоматикой проводят их удаление. Самые безвредные и эффективные методы иссечения нароста:
- Гистероскопия. Малотравматичный способ. Операция проводится с применением легкого наркоза на третий день после месячных. Длительность вмешательства в среднем составляет 30 минут. Заключается во введении через расширенную шейку матки гистероскопа (для исследования полости, определения размеров и количества образований). Потом опухоль отрезают хирургической петлей или щипцами и выскабливают остатки.
- Лапароскопия. Этому методу отдают предпочтение при высоком риске рака. Заключается в удалении полипа вместе с маткой. Осуществляется процедура с использованием общей анестезии. В ходе операции в животе делают несколько надрезов, через которые вводят прибор с камерой. После осмотра органа его иссекают.
- Лазерное лечение. Удаление железисто-фиброзных полипов лазерным лучом относится к нетравматичным методам. После операции не остаются рубцы, а еще сохраняется репродуктивная функция.
Для быстрого заживления тканей и восстановления организма после вмешательства назначается применение спазмолитиков (Папаверина, Но-шпы), антибиотиков (Цефтриаксона, Сумамеда), гестагенов (Марвелона, Триквилара), витаминов.
Нельзя после иссечения полипа принимать ванну, посещать баню, сауну, вести половую жизнь, купаться в водоемах.
Особенности патологии при климаксе
Изменения гормонального фона в период менопаузы, способны провоцировать возникновение фиброзного полипа в матке. Лечат небольшие наросты гормонами, а при сильном разрастании оперативными методами.
При климаксе нелегко выявить патологию. Одно из проявлений — сбои в менструальном цикле, которые в принципе, нормальны при наступлении климакса.
Железисто-фиброзный полип и беременность
Наросты в матке мешают зачатию, но даже при их наличии возможно оплодотворение. Однако оставленное без внимания доктора образование способно привести к невозможности забеременеть в будущем. Это одна из причин, почему врачи советуют удалять опухоль сразу после ее обнаружения. Фиброзные наросты опасны в период беременности, так как увеличивают вероятность выкидыша.
Профилактика
После удаления полипы могут появляться снова. Понижению риска рецидива способствует:
- лечение сопутствующих болезней;
- регулярное прохождение осмотров у гинеколога;
- ведение активной, здоровой жизни;
- отказ от вредных привычек;
- исключение случайных половых связей.
Источник: https://irgdp5.ru/ginekologiya/udalenie-zhelezisto-fibroznogo-polipa.html
Лечение железисто фиброзного полипа эндометрия после выскабливания

Внедрение в гинекологическую практику инновационных методов диагностики, отличающихся высокой точностью, информативностью и достоверностью результатов, позволяет выявить многие патологии на начальной степени. В частности, посредством УЗИ или гистероскопии у 20% женщин можно выявить доброкачественные образования в полости матки – полипы.
Полипозные новообразования, несмотря на свою доброкачественность, требуют хирургического лечения. Это связано с определённым риском перехода полипов в рак. Врачи обычно предлагают хирургическое удаление.
Однако даже проведённое хирургическое лечение не гарантирует полное выздоровление. Полипоз относится к заболеваниям, которые нередко регрессируют. Для того чтобы полипы не сформировались после лечения, необходимо обратить внимание на устранение провоцирующих факторов. Хирургическое лечение устраняет последствия, но не воздействует на причину патологии.
Полипы в матке считаются доброкачественными новообразованиями, возникающими вследствие гиперплазии эндометрия. Этот патологический процесс сопровождается чрезмерным разрастанием эндометрия, что приводит к функциональным и структурным нарушениям матки.
Стенка матки представлена тремя слоями.
- Серозная оболочка или периметрий покрывает матку снаружи.
- Мышечная оболочка или миометрий обеспечивает растяжение матки при росте плода и сокращение во время менструации и родов.
- Внутренняя оболочка , слизистый слой, называется эндометрием.
Эндометрий обеспечивает имплантацию оплодотворённой яйцеклетки в полость матки. Внутренний слой матки неоднороден и находится в зависимости от фазы цикла. В структуре эндометрия выделяют два слоя:
Функциональный слой эндометрия нарастает и отторгается под воздействием гормонов в течение каждого цикла. Его последующее восстановление обеспечивается клетками базального слоя эндометрия, который практически не подвергается влиянию половых гормонов.
При гормональном дисбалансе правильный баланс нарушается, что вызывает избыточное разрастание эндометрия. Со временем возникают функциональные и структурные нарушения, приводящие к различным патологиям.
Если разрастание или гиперплазия охватывает поверхность всего эпителия, говорят о диффузной форме заболевания. При очаговом поражении наблюдается рост полипозных образований, так как патологические участки растут в высоту.
Примечательно, что полипы в матке отличаются различными формами и размерами:
- округлые или грибовидные;
- малой и большой величины;
- на тонкой ножке или толстом основании;
- светло-розовые и тёмно-бардовые;
- многочисленные и одиночные.
Установлено, что причиной роста полипов является недостаток прогестерона при сопутствующем избытке эстрогенов. Провоцирует развитие полипов в матке воспаление половых органов, травмы эндометрия различными вмешательствами.
Полипы могут быть образованы разным видом ткани. В зависимости от их структуры и клеточного состава выделяют следующие разновидности полипов:
- железистые;
- фиброзные;
- железисто-фиброзные;
- аденоматозные.
Для каждого возрастного периода характерен определённый вид полипа. Наиболее опасными считаются аденоматозные полипы, так как такие образования отличаются признаками атипии. При отсутствии лечения, которое заключается в своевременном удалении, аденоматозный полип может прогрессировать в рак.
При лечении после удаления полипа в матке обязательно учитывается результат гистологического исследования. Данный вид диагностики обязательно проводится перед назначением лечения после удаления полипа. В случае выявления атипии полипы рекомендовано удалять вместе с маткой. Неправильное лечение может привести к развитию рака.
Клиническая картина при наличии полипа зависит от локализации и величины новообразования. Железистые полипы малого размера не сопровождаются симптомами. Проявления железистого полипа возникают в случае достижения образованием значительного размера.
При множественном или единичном железистом полипе большого размера могут появиться следующие симптомы:
- ациклические кровотечения, которые у женщин после наступления менопаузы носят однократный характер;
- мажущие выделения перед менструацией;
- обильные месячные;
- болевой синдром;
- болезненность половых контактов;
- невынашивание беременности, в частности, выкидыши и преждевременные роды;
- бесплодие.
Зачастую гормональный дисбаланс, сопровождающийся нарушением цикла и ановуляцией, а также рост полипов препятствуют наступлению беременности. Отсутствие овуляции исключает возможность зачатия, а изменённый эндометрий препятствует имплантации плодного яйца.
При отсутствии гормональных нарушений при возникновении беременности железистый полип также оказывает отрицательное влияние. Железистый полип нарушает сократительную способность матки, что проявляется кровотечениями.
Женщинам, планирующим беременность, рекомендовано удаление железистого полипа матки. В рамках лечения после удаления полипа эндометрия в матке назначаются гормональные препараты, способствующие нормализации репродуктивной функции.
Методы удаления
Выявление полипов возможно посредством инструментальных методов диагностики. Одним из самых простых способов диагностики является УЗИ, отличающееся высокой информативностью.
В процессе гистероскопии одновременно осуществляется обнаружение и удаление железистых полипов.
Диагностика дополняется лабораторным исследованием, которое позволяет планировать лечение после непосредственного удаления полипа эндометрия.
Удаление железистых полипов подразумевает гистероскопию и выскабливание полости матки и цервикального канала. Затем обязательно проводится гистологическое исследование в лаборатории полученного после удаления материала. В некоторых случаях осуществляется РДВ, означающее процедуру раздельного диагностического выскабливания, а также удаление железистых полипов посредством лазера.
Тактика лечения после удаления полипа эндометрия и цервикального канала может несколько отличаться.
- Фиброзные полипы обязательно следует лечить их удалением.
- Если обнаружен железисто фиброзный полип эндометрия, лечение после удаления включает гормональную терапию.
- Аденоматозные полипы у женщин перед и после менопаузы лечатся удалением новообразований и матки. Операция представляет собой экстирпацию матки, надвлагалищную ампутацию. В некоторых случаях необходимо удаление яичников, придатков.
Гистероскопия
Метод представляет собой щадящее вмешательство, осуществляемое посредством специальной аппаратуры и под непосредственным контролем врача. Для оптимальной визуализации полости матки, желательно проводить вмешательство после месячных. За несколько часов до манипуляции исключается приём пищи и воды.
Гистероскопию осуществляют обычно под общим наркозом и крайне редко под местным обезболиванием. Через цервикальный канал вводится гистероскоп, представляющий собой тонкую гибкую трубку.
Специальная видеокамера, установленная на гистероскопе, передаёт изображение внутренней полости матки на экран.
Таким образом, врач осматривает полость матки, определяет локализацию и размер железистого или железисто-фиброзного образования.Затем при помощи петли, если новообразование имеет большой размер, или приспособления в виде иглы, в случае маленьких опухолей, производится непосредственно удаление. Функциональный слой полости матки также подлежит удалению. Полученный материал направляют в лабораторию для выполнения гистологического исследования.
Если новообразование располагается на ножке, удаление выполняется методом «откручивания», а его ложе следует обработать криогенным способом или прижечь электрическим током. Кроме метода электрокоагуляции, нередко используется лазер.
Выскабливание
Гинекологи утверждают, что в значительном проценте случаев полипоз рецидивирует. Именно поэтому крайне важно провести коагуляцию ложа образования. При выполнении выскабливания без сопутствующей гистероскопии провести удаление ножки полипа не представляется возможным, что вызывает рецидивы.
Современная гинекология относит процедуру выскабливания к бесполезным манипуляциям, что касается лечения полипоза. Изначально необходимо выполнить удаление опухолевидного новообразования посредством гистероскопии, а затем осуществить удаление поверхностного слоя эндометрия.
Иногда выскабливание выполняется при наличии показаний, например, кровотечения. Выскабливание позволяет остановить кровотечение и не является методом удаления полипозного образования. Посредством специальных инструментов выполняется кюретаж или выскабливание полости матки.
Источник: https://venyvarikoz.ru/lechenie-zhelezisto-fibroznogo-polipa-jendometrija/
Лечение после удаления железистого полипа эндометрия

Внедрение в гинекологическую практику инновационных методов диагностики, отличающихся высокой точностью, информативностью и достоверностью результатов, позволяет выявить многие патологии на начальной степени. В частности, посредством УЗИ или гистероскопии у 20% женщин можно выявить доброкачественные образования в полости матки – полипы.
Полипозные новообразования, несмотря на свою доброкачественность, требуют хирургического лечения. Это связано с определённым риском перехода полипов в рак. Врачи обычно предлагают хирургическое удаление.
Однако даже проведённое хирургическое лечение не гарантирует полное выздоровление. Полипоз относится к заболеваниям, которые нередко регрессируют. Для того чтобы полипы не сформировались после лечения, необходимо обратить внимание на устранение провоцирующих факторов. Хирургическое лечение устраняет последствия, но не воздействует на причину патологии.
Полипы в матке считаются доброкачественными новообразованиями, возникающими вследствие гиперплазии эндометрия. Этот патологический процесс сопровождается чрезмерным разрастанием эндометрия, что приводит к функциональным и структурным нарушениям матки.
Стенка матки представлена тремя слоями.
- Серозная оболочка или периметрий покрывает матку снаружи.
- Мышечная оболочка или миометрий обеспечивает растяжение матки при росте плода и сокращение во время менструации и родов.
- Внутренняя оболочка, слизистый слой, называется эндометрием.
Эндометрий обеспечивает имплантацию оплодотворённой яйцеклетки в полость матки. Внутренний слой матки неоднороден и находится в зависимости от фазы цикла. В структуре эндометрия выделяют два слоя:
- функциональный;
- базальный.
Функциональный слой эндометрия нарастает и отторгается под воздействием гормонов в течение каждого цикла. Его последующее восстановление обеспечивается клетками базального слоя эндометрия, который практически не подвергается влиянию половых гормонов.
При гормональном дисбалансе правильный баланс нарушается, что вызывает избыточное разрастание эндометрия. Со временем возникают функциональные и структурные нарушения, приводящие к различным патологиям.
Если разрастание или гиперплазия охватывает поверхность всего эпителия, говорят о диффузной форме заболевания. При очаговом поражении наблюдается рост полипозных образований, так как патологические участки растут в высоту.
Примечательно, что полипы в матке отличаются различными формами и размерами:
- округлые или грибовидные;
- малой и большой величины;
- на тонкой ножке или толстом основании;
- светло-розовые и тёмно-бардовые;
- многочисленные и одиночные.
Установлено, что причиной роста полипов является недостаток прогестерона при сопутствующем избытке эстрогенов. Провоцирует развитие полипов в матке воспаление половых органов, травмы эндометрия различными вмешательствами.
Полипы могут быть образованы разным видом ткани. В зависимости от их структуры и клеточного состава выделяют следующие разновидности полипов:
- железистые;
- фиброзные;
- железисто-фиброзные;
- аденоматозные.
Для каждого возрастного периода характерен определённый вид полипа. Наиболее опасными считаются аденоматозные полипы, так как такие образования отличаются признаками атипии. При отсутствии лечения, которое заключается в своевременном удалении, аденоматозный полип может прогрессировать в рак.
При лечении после удаления полипа в матке обязательно учитывается результат гистологического исследования. Данный вид диагностики обязательно проводится перед назначением лечения после удаления полипа. В случае выявления атипии полипы рекомендовано удалять вместе с маткой. Неправильное лечение может привести к развитию рака.
Клиническая картина при наличии полипа зависит от локализации и величины новообразования. Железистые полипы малого размера не сопровождаются симптомами. Проявления железистого полипа возникают в случае достижения образованием значительного размера.
При множественном или единичном железистом полипе большого размера могут появиться следующие симптомы:
- ациклические кровотечения, которые у женщин после наступления менопаузы носят однократный характер;
- мажущие выделения перед менструацией;
- обильные месячные;
- болевой синдром;
- болезненность половых контактов;
- невынашивание беременности, в частности, выкидыши и преждевременные роды;
- бесплодие.
Зачастую гормональный дисбаланс, сопровождающийся нарушением цикла и ановуляцией, а также рост полипов препятствуют наступлению беременности. Отсутствие овуляции исключает возможность зачатия, а изменённый эндометрий препятствует имплантации плодного яйца.
При отсутствии гормональных нарушений при возникновении беременности железистый полип также оказывает отрицательное влияние. Железистый полип нарушает сократительную способность матки, что проявляется кровотечениями.
Женщинам, планирующим беременность, рекомендовано удаление железистого полипа матки. В рамках лечения после удаления полипа эндометрия в матке назначаются гормональные препараты, способствующие нормализации репродуктивной функции.
Лазерная методика
Это инновационный малотравматичный метод прицельного удаления опухолей в матке при помощи лазера. Лазерное удаление не сопровождается последующим образованием рубцов, что очень важно для женщин репродуктивного возраста.
Во время манипуляции врач контролирует глубину воздействия лазера. Это существенно снижает риск осложнений и сокращает реабилитационный период. Такое удаление не требует госпитализации и длительного пребывания в стационаре.
После удаления полипоза женщина может испытывать спазматические боли и наблюдать кровянистые выделения в течение нескольких дней. По истечении недели проводится контрольное обследование и решается вопрос о дальнейшей тактике лечения.
Лечение после вмешательства
Гистероскопия считается безопасным методикой удаления полипоза. Риск возникновения осложнений после лечения методом удаления минимален. Однако следует после удаления провести консервативное лечение, чтобы избежать рецидивов.
Консервативное лечение назначается в раннем послеоперационном периоде. В течение первых дней пациентке назначаются препараты для расслабления маточной мускулатуры. Такое лечение необходимо для профилактики скопления крови в полости матки.
Большинство случаев полипоза связано с воспалительным процессом. Именно поэтому пациенткам зачастую рекомендуется противовоспалительное лечение.
Лечение зависит от вида полипоза, который определяется посредством гистологического исследования. Результаты гистологии помогают определиться с тактикой последующего лечения.После удаления фиброзного полипоза гормональное лечение не требуется. Железистый и железисто-фиброзный типы полипа эндометрия нуждаются в гормональном лечении после удаления. Обычно врачи назначают гормональные препараты следующих групп:
- гестагены, например, Утрожестан, Дюфастон или Норколут;
- пероральные монофазные противозачаточные средства, в том числе Джес, Ярину или Жанин.
После предварительной консультации врача можно применять средства народной медицины. Данные средства поддерживают иммунитет и адекватный гормональный фон.
В качестве лечения применяются настои и отвары чистотела, боровой матки. В составе комплексного лечения также используются гомеопатические препараты. Лечение проходит под наблюдением врача.
Самостоятельное применение средств народного лечения не допускается.
В редких случаях после удаления железистого полипоза посредством гистероскопии и выскабливания могут наблюдаться осложнения, которые сопровождаются следующими симптомами:
- интенсивное кровотечение;
- тёмные выделения, имеющие неприятный запах;
- повышенная температура;
- усиление болей.
После удаления полипозных образований железистого и железисто-фиброзного характера могут возникнуть следующие последствия.
- Воспаление матки. Такое осложнение возможно, если процедура осуществлялась на фоне инфекции или при несоблюдении правил антисептики. В таком случае назначается антибактериальное лечение.
- Перфорация матки. При наличии рыхлых стенок или плохом расширении может возникнуть прокол тела матки. Мелкие проколы зарастают самостоятельно. В случае крупных проколов их необходимо зашивать.
- Гематометра. В случае спазма шейки матки возникает резкое прекращение выделений. Признаком образования гематометры являются сильные боли вследствие инфицирования, которые можно устранить посредством противовоспалительного лечения и использования спазмолитиков.
После вмешательства по поводу железистого полипоза эндометрия женщине необходимо соблюдать рекомендации лечащего врача:
- исключить посещение бани, сауны;
- гигиенические процедуры желательно осуществлять под душем;
- приём аспирина запрещается, так как он может усилить кровотечение;
- в течение месяца рекомендуется лёгкая физическая активность;
- заниматься сексом и спринцеваться запрещается.
Соблюдение рекомендаций в послеоперационном периоде после лечения железистого новообразования помогает снизить риск осложнений и способствует восстановлению повреждённого эндометрия матки.
Источник: https://ginekola.ru/ginekologiya/matka/lechenie-posle-udaleniya-polipa-v-matke.html
