Ключица неправильно срослась — как передается, классификация, признаки заболевания, профилактика Многие годы безуспешно боретесь с…
Рубрика “Ортопед-травматолог”
Категория: Ортопед-травматолог
Родительская категория:
Как по снимку определить обычный и сросшийся перелом ГЛАВНЫЙ КИТАЙСКИЙ ВРАЧ ПО СУСТАВАМ ДАЛ БЕСЦЕННЫЙ…
Возможные причины боли в пояснице при наклоне Появление резкой боли в спине называется медиками люмбалгией,…
Перелом пястной кости: симптомы, виды и место локализации, лечение и реабилитация Пястные кости обеспечивают двигательную…
Отек после операции пальца: лекарства, меню, признаки и лечение, травы Многие годы безуспешно боретесь с…
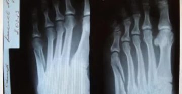
Перелом плюсневой кости стопы – самые эффективные способы диагностики и лечения травмы Перелом плюсневой кости…
Перелом дистального метаэпифиза лучевой кости Перелом дистального метаэпифиза лучевой кости ─ часто встречающаяся травма руки,…
У ребенка несимметричные складки на ножках: причины, норма и отклонения, мнения медиков Когда мамочка обнаруживает,…
Перелом плечевой кости Перелом плечевой кости со смещением – самая распространенная травма плечевого пояса, возникающая…
Лечение и реабилитация переломов голеностопа со смещением и без смещений Голеностопный сустав (ГСС) — это сложное…










