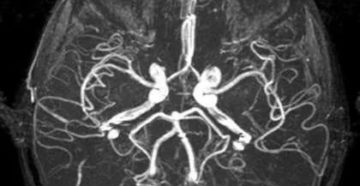
Магнитно-резонансная ангиография (МРА) — что это, зачем проводят, показания, подготовка, риски Магнитно-резонансная ангиография исследует состояние…
Рубрика “Медицинские консультации”
Категория: Медицинские консультации
Дочерние категории:
- Аллерголог
- Анестезиолог-реаниматолог
- Венеролог
- Гастроэнтеролог
- Гематолог
- Генетик
- Гинеколог
- Гомеопат
- Дерматолог
- Детский гинеколог
- Детский невролог
- Детский уролог
- Детский хирург
- Детский эндокринолог
- Диетолог
- Иммунолог
- Инфекционист
- Кардиолог
- Косметолог
- Логопед
- Лор
- Маммолог
- Медицинский юрист
- Нарколог
- Невропатолог
- Нейрохирург
- Нефролог
- Онколог
- Онкоуролог
- Ортопед-травматолог
- Офтальмолог
- Педиатр
- Пластический хирург
- Проктолог
- Психиатр
- Психолог
- Пульмонолог
- Ревматолог
- Рентгенолог
- Сексолог-Андролог
- Стоматолог
- Терапевт
- Уролог
- Фармацевт
- Фитотерапевт
- Флеболог
- Хирург
- Эндокринолог










