Не открывается головка у мальчика: причины, что делать Актуальным вопросом для всех родителей, которым предоставлено…
Рубрика “Уролог”
Категория: Уролог
Родительская категория:
Мазок у мужчин из уретры: расшифровка анализа на флору, нормальные показатели лейкоцитов и других компонентов…
Немеет левое яичко Тянущие боли в яичках могут возникать из-за механических повреждений половых органов, воспалительных…
Плохая эрекция у мужчин: причины, признаки, способы восстановления Эректильная дисфункция — патологическое состояние, при котором…
Стентирование мочеточника и возможные осложнения процедуры Мочекаменная болезнь, злокачественные или доброкачественные новообразования в мочевыводящих путях…
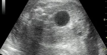
Что может на узи показать затемнение в почках Ультразвуковая диагностика почек является максимально информативной при…
Расшифровка результатов спермограммы Спермограмма представляет собой анализ спермы для установления способности к зачатию, обнаружения заболеваний…
Мазок на флору у женщин – норма в таблице с расшифровкой Что показывает мазок на…








