Затемнение в почке
Что может на узи показать затемнение в почках

Ультразвуковая диагностика почек является максимально информативной при заболеваниях мочевыделительной системы. Такое исследование даёт возможность специалисту поставить точный диагноз, чтобы назначить эффективное лечение.
При проведении УЗИ или рентгена почек диагност может обнаружить структурные изменения в мочевыделительных органах. И каждому из них есть своё объяснение. Но при этом многие пациенты всё же интересуются затемнением в почке что это может быть.
В материале ниже рассмотрим подробнее все возможные трактовки обследования почек при помощи аппарата УЗИ или рентгена.
Показания для проведения обследования
Рентген или УЗИ почек проводятся на основании жалоб пациента и подозрений лечащего врача на наличие патологических изменений в органах. Так, главными основания для УЗИ являются:
- Болезненность в области поясницы;
- Травмы в области почек или брюшины;
- Явно ощутимые при пальпации уплотнения или увеличения почек;
- Наличие крови в моче;
- Изменение диуреза (чаще/реже позывы к мочеиспусканию или их отсутствие);
- Постоянно повышенное АД, не поддающееся медикаментозной корректировке;
- Подозрение на онкологию.
Подготовительная стадия
Стоит знать, что для проведения ультразвука мочевыделительной системы не нужно выполнять каких-либо особых рекомендаций. Единственное, что может реально оценить состояние почек — это вздутие кишечника. Именно поэтому пациенты со вздутием кишечника за три дня до обследования должны соблюдать специальную диету, препятствующую усиленному газообразованию.
Также не рекомендуется выполнять УЗИ почек сразу после контрастной рентгенографии или колоноскопии. Эти процедуры на некоторое время меняют расположение кишечника, что затрудняет диагностику почечных патологий.
Выявляемые патологии и их признаки
При исследовании почек на УЗИ можно выявить почти все патологии, которые могут происходить с почками. При этом патологии (изменения) делят на две группы — диффузные и очаговые. Первые затрагивают всю структуру органа, а для вторых присуще только наличие патологии в определенном участке почки, в то время как остальная её ткань остается здоровой и неизмененной.
К диффузным поражениям относят такие патологии:
К очаговым патологиям относят:
- Кистозные образования. Имеют вид анэхогенных (чёрных полностью) образований или пятен. Контуры у таких кист ровные, а форма округлая. При кистах сигнал ультразвука усиливается.
- Абсцесс. Характеризуется нечеткими контурами и размытостью. Содержимое эхогенно. Чаще всего это гной. На начальных стадиях воспаления абсцесс может иметь гиперэхогенность.
- Ангиомиолипома. Имеет чёткие и ровные округлые контуры и повышенную эхогенность.
- Камни. Выглядят как структуры определенного размера, имеющие гиперэхогенность. Конкременты (камни) отлично отражают ультразвук и дают хорошую тень.
Важно: но на УЗИ отчетливо видны камни лишь более 2 мм. Мелкий песок диагностировать с помощью УЗИ невозможно.
Губчатость
Если на УЗИ просматривается губчатость мочевыделительного органа, то это свидетельствует о его аномальном строении. То есть все собирательные трубочки почки увеличены в размере. Как правило, это никоим образом не отражается на самочувствии человека, но является воротами для восходящей инфекции. Поэтому необходимо более тщательно следить за своим здоровьем, гигиеной и половыми связями.
При губчатости эхогенность пирамидок с нормальной гипоэхогенной (тёмно-серый оттенок) меняется на гиперэхогенную (белый оттенок).
Затемнение в почках
В основном затемнения (гипоэхогенность) могут быть по таким причинам:
- Наличие абсцесса;
- Доброкачественная опухоль;
- Возможное кровоизлияние;
- Онкология небольшого размера.
- Почечные пирамидки также имеют низкую эхогенность и могут быть тёмными на УЗИ.
Совсем черный оттенок имеют:
- Киста;
- Расширенная лоханка, переполненная мочой.
Онкология почек
При подозрении на злокачественное образование специалист будет внимательно отслеживать эхогенность нужных участков органа. Как правило, онкология на УЗИ имеет такие проявления:
- Небольшое образование гипоэхогенно.
- Крупное образование гиперэхогенно.
- Для опухоли характерна смешанная эхогенность из-за структурных изменений в тканях почек.
- Часто специалист может отслеживать изоэхогенность подозрительного участка больного органа. То есть структура образования схожа с окружающей почечной тканью.
Важно: сложно просматриваются на УЗИ злокачественные образования до 1 см в диаметре. При этом даже они имеют ровные и плотные контуры.
- Крупное образование имеет неоднородную структуру и смешанную эхогенность.
- Если онкология давняя, то в зонах распада образования будут просматриваться кисты с жидким содержимым. Такие участки будут совсем черными или тёмно-серыми (видно потемнение) и иметь неправильную форму.
- Все злокачественные образования будут иметь совершенно отличную от паренхиматозной акустическую плотность.
- При наличии онкологии контуры органа могут быть слегка выпяченными.
- Эхо-сигнал чаще прерывистый.
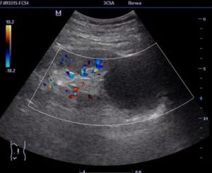
Важно: если проводится доплерография, то при онкологии рисунок сосудов может меняться от полного его отсутствия до чрезмерной васкуляризации при высокой интенсивности цветового сигнала.
После УЗИ
Стоит понимать, что протокол УЗИ еще не является диагнозом. Это лишь предварительное обследование почек на предмет возможных патологий. Если лечащий врач имеет определенные подозрения, то обязательно направит пациента на дополнительные инструментальные исследования:
- КТ и МРТ;
- Контрастная рентгенография;
- Ангиография и пр.
Источник: https://pochki-lechenie.ru/diagnostika/chto-mozhet-na-uzi-pokazat-zatemnenie-v-pochkah
Как быстро узнать, что ваши почки не в норме: свекла, сухость глаз и диагностика ладоней

Поговорим о почках. Хоть у нас их сразу две, они обе одинаково дороги, так как работы хватает каждой из почек. Этот орган круглосуточно фильтрует кровь, регулирует водно-солевой обмен, кислотно-щелочное равновесие, синтезирует ферменты и другие биологически активные вещества.
yellmed.ru
Через почечные клубочки в течение суток проходит до 150 литров крови, но мочи выводится не больше 1-2 литров, остальное отфильтровывается в виде воды, натрия, калия, глюкозы и т.д.
Если наш биологический фильтр начинает «барахлить», в крови накапливаются различные продукты обмена, токсичные вещества. Нарушается выработка надпочечниками гормона альдостерона и выработка почками ренина, которые влияют на кровяное давление.
Возникают сбои в работе мочевыделительной системы.
Каковы последствия? Возникают проблемы с давлением, страдают органы зрения, слуха, происходит выпадение волос, появляется варикоз, мочекаменная болезнь и другие малоприятные явления. Как их предотвратить?
Простые тесты
Наши почки – очень терпеливый орган и, несмотря на ухудшение функционирования, может долго никак не заявлять о себе. Но не стоит воспринимать как должное его круглосуточную заботу о нас.
Существует несколько простых тестов, которые можно провести в домашних условиях, чтобы определить, насколько хорошо работают почки, существует ли риск образования камней и нужна ли им наша помощь. Хотя лучше просто не мешать им работать.
Здоровые почки никак не среагируют на употребление в пищу вареной свеклы в количестве до 400 граммов. Поэтому стоит скушать винегрет или салат из свеклы и протестировать свою мочу. Если она окрасилась в розовый цвет, значит почки не справляются со своей ролью «фильтра».
При постоянном употреблении в пищу животных белков, сладостей нарушается работа почек, возрастает уровень мочевой кислоты. Если начинаются скачки давления, можно предположить, что в почках уже появился «песок». При устойчивом повышении давления стоит проверить почки на наличие «камней».Как узнать, что моча стала слишком «кислой»? Если нет лакмусовой бумажки для определения кислотно-щелочного баланса, купите в магазине продуктов краснокочанную капусту. Кусок капусты измельчите блендером, залейте водой и размешайте.
Когда она окрасит воду в темно-пурпурный цвет, процедите жидкость – и ваш тестер готов. Можете капусту поварить, пока вода не окрасится в такой же цвет.
Любым удобным для вас способом соедините эту капустную воду с мочой и понаблюдайте за переменой цвета.
Если жидкость окрасилась в голубоватый цвет, будьте спокойны – ваша моча нейтральная или щелочная (при насыщенном голубом цвете).
Если моча слишком кислая, то цвет может остаться без изменения или стать розовым. Тогда лучшей профилактикой мочекаменной болезни будет корректировка рациона в сторону ощелачивающих продуктов.
Кушайте больше фруктов, овощей, фасоли, ограничьте употребление мяса, рыбы, сыра, хлеба.
pixabay.com
Диагностика по ногтям и ладони
При почечной недостаточности ногти становятся, если можно так выразиться, «двухцветными». Верхняя половина ногтевой пластинки приобретает розовый цвет, а нижняя – белый. При таком диагнозе ноготь может приобрести и коричневый цвет, что иногда еще свидетельствует о редкой патологии надпочечников – болезни Аддисона.
Посмотрите внимательно на свою ладонь. При проблемах с почками и печенью кончики ваших пальцев могут приобрести темно-красный, почти лиловый цвет.
Подсказки нашего тела
Согласно восточной медицине, на нашем теле есть много точек и зон, которые соответствуют тому или иному органу.
Периорбитальная область, или, проще говоря, область вокруг глаз, является одной из проекций почек. Правый глаз соответствует правой почке, левый глаз – левой. Поэтому стоит обратить внимание, нет ли на веках сосудистого рисунка, папиллом, жировичков.
При образовании на почке кисты часто на веке выделяется набухшая вена. При протекающих в почках воспалительных процессах вас могут часто беспокоить конъюнктивит, блефарит.
При нарушении кислотно-щелочного баланса организма в сторону сильного закисления конъюнктива глаза вместо обычного розового цвета приобретает белый.Начинающийся накапливаться в почках песочек вызывает сухость глаз, это можно заметить по частому морганию.
Другой орган, являющийся «представителем» почек на нашем теле, это ухо. При плохой фильтрации, которую проводят почки, в крови накапливается мочевая кислота, поэтому сужаются сосуды и возникает спазм мышц, а также нервных волокон в области шеи. В связи с этим страдают органы слуха и вестибулярный аппарат.
У «почечников» в самолете при первой же воздушной яме закладывает уши, и такое состояние длится до самого конца полета. Часто при патологии почек возникает звон в ушах, а если потянете себя за ухо, услышите щелчок. Обильное выделение серы из уха, частые отиты тоже связаны с функциональными нарушениями почек.
Признаков почечных проблем перечислили много. А как же помочь нашим почкам справиться с надвигающимися опасностями?
pixabay.com
Природная аптека для почек
В летне-осенний сезон можно в любом количестве готовить баклажаны по вашим любимым рецептам и кушать их без ограничения. Этот овощ способствует выведению из организма солей мочевой кислоты, снижает содержание холестерина в почках и сосудах.
Хорошо выводит из почек шлаки всем известная столовая свекла. Ее сок принимают перед едой 3-4 раза в день в количестве от 2/3 до 1 стакана.
Для профилактики образования камней полезно в осенний период кушать виноград или пить свежеприготовленный виноградный сок.
При заболеваниях почек можно использовать некоторые растения: молодые листья березы, горец птичий (спорыш), корень лопуха, траву пастушьей сумки, цветки сирени обыкновенной, листья черной смородины, траву фиалки трехцветной, различные почечные сборы.
Всем дачникам и огородникам знаком такой агрессивный сорняк, как пырей ползучий. Но не многие знают о его пользе. А ведь его корневища – это прекрасное средство для очистки крови и восстановления обмена веществ.
Приготовить настой очень просто. Нужно взять 1-2 столовые ложки корневищ, залить половиной литра кипятка и настоять 8 часов. Пить следует в теплом виде, можно с добавлением меда.
Принимать перед едой от 3 до 5 раз в течение дня по полстакана.
Корневища пырея издавна использовали для изготовления муки, из которой пекли хлеб, делали пиво и другие напитки. Поэтому противопоказаний к применению пырея практически нет, поскольку это пищевой продукт.
А вот польза огромная не только для почек, но и для очищения всего организма, восстановления зрения, при различных болезнях кожи. Траву пырея (зелень) можно просто заваривать и пить как чай без ограничений.
При воспалительных процессах в почках можно принимать продукт пчеловодства – прополис. Это сильное бактерицидное и болеутоляющее средство. Употреблять прополис можно в чистом виде – жевать его кусочек весом 3-5 граммов за час перед едой. В конце его лучше не выплевывать, а проглотить. Проделывать такую процедуру можно от 3 до 5 раз в день.Если вы приобрели в аптеке спиртовую настойку прополиса, принимайте ее по аналогичной схеме. На половину стакана теплого молока или чая добавляйте 20-40 капель настойки и употребляйте за час до еды 3-5 раз за день.
pixabay.com
Баня
Хотите дать вашим почкам немного отдохнуть? Сходите в баню! Банный пар и жар поспособствуют усилению потоотделения, выделению из тела мочевины, молочной кислоты. Кожа начнет активно работать как выделительный орган, возьмет на себя часть нагрузки почек. Ведь именно с потом выводятся продукты распада, шлаки, токсины, соли.
Конечно, при уже имеющихся заболеваниях почек перед посещением бани нужно посоветоваться с врачом.
Полезные привычки
Китайская медицина считает период с 17 до 19 часов временем активности меридиана почек. В это время они наиболее продуктивно трудятся над «эвакуацией» из нашего организма шлаков. Чтобы процесс шел быстрее и легче, нужно в данный временной промежуток выпить стакан воды или травяного чая. Такая полезная привычка поможет сохранить здоровье почек.
Ранее Yellmed рассказывал, как в домашних условиях распознать сигналы больной печении желчного пузыря
Источник: https://zen.yandex.ru/media/id/59955eaa58166960c79d6782/5c763c6075283300b3e058ab
Диагностика рака почки с помощью КТ

КТ – «золотой стандарт» визуализации злокачественных новообразований почек. При помощи КТ можно достоверно дифференцировать опухоль почки и различные виды почечных кист.
Обязательным условием для достоверной диагностики опухолей является внутривенное контрастирование (КТ с контрастным усилением), при помощи которого можно четко визуализировать солидную, мягкотканную часть образования.
В экскреторную фазу можно оценить, насколько опухоль деформирует чашечно-лоханочный комплекс и затрудняет отток мочи.
Сделать КТ почек в Санкт-Петербурге
КАК ПОДГОТОВИТЬСЯ К КТ ПОЧЕК С КОНТРАСТОМ?
Чтобы томография почек не принесла вреда, перед исследование необходимо исследовать кровь с целью оценки выделительной функции. В биохимическом анализе крови имеют значение показатели креатинина (не более 110 мкмоль/л) и мочевины (не более 9 ммоль/л), а также скорость клубочковой фильтрации.
Превышение данных показателей говорит о нарушении функции почек и является фактором, в значительной степени увеличивающим вероятность возникновения побочных эффектов йодсодержащих контрастных веществ.
Необходимо также убедиться, что вы не страдаете патологией щитовидной железы, сопровождающейся ее повышенной функцией (гипертиреоз, тиреотоксикоз).
За двое суток перед исследованием необходимо придерживаться диеты, исключающей мясные продукты, особенно из жирных сортов мяса, газообразующие продукты – бобовые, капусту и др. В день исследования допустим легкий завтрак.
Непосредственно перед исследованием лучше не принимать пищу в течение 2-3 часов. Все это нужно для того, чтобы снизить количество артефактов от кишечного содержимого, газа. После исследования необходимо пить как можно больше жидкости, т.к.
контрастные контрасты выводятся почками, и употребление большого количества воды помогает быстрее «вымыть» их из организма.
С собой нужно взять всю информацию касательно своего заболевания, в т. ч. результаты предыдущих исследований (МРТ, УЗИ и т.п.), а также амбулаторную карту и другие медицинские документы. Не забудьте результаты анализов крови на креатинин и мочевину.
ЧТО ПРОИСХОДИТ ВО ВРЕМЯ КТ ПОЧЕК С КОНТРАСТОМ?
Пациент ложится на стол томографа. Затем в вену локтевого сгиба вводится катетер и фиксируется при помощи пластыря. К катетеру через тонкую пластиковую трубку подключается специальный аппарат – автоматический инжектор, в колбу которого заливается контрастный препарат.
Сканирование начинается с нативной фазы, при которой не вводится контраст. После этого лаборант подает сигнал на инжектор и он начинает введение контраста, практически одновременно начинается второе сканирование, при котором происходит заполнение контрастированной кровью артерий, артериол и капиллярного сосудистого русла. Это фаза называется артериально-паренхиматозной, т. к.
контрастируются не только артерии, но и паренхиматозные органы, а также стенка полых органов. В портально-венозную фазу происходит усиление портальной вены, а также других крупных вен.И, наконец, в отсроченную фазу контрастом заполняется чашечно-лоханочный комплекс почек и мочеточники, а также мочевой пузырь – появляется возможность оценить степень деформации полостей почек опухолью.
КАК ВЫГЛЯДИТ РАК ПОЧКИ НА КТ С КОНТРАСТОМ?
Рак почки (гипернефрома, светлоклеточный рак) можно определить как узел с неровными краями, имеющий неоднородную структуру с множественными участками распада, некроза, мягкотканным и жидкостным компонентом в структуре, представленным в различных пропорциях.
Кроме того, в структуре опухолевого узла – не во всех случаях, но часто – выявляются обызвествления и кровоизлияния. Размеры узла могут быть самыми разными – от нескольких мм до 10 см (и больше).
Маленькие узлы зачастую не видны на КТ без контраста и проявляют себя только некоторым выбуханием контура органа – они часто пропускаются при беглом просмотре изображений (вот почему Второе мнение врача может быть полезным).
Типичный вид рака почки в нативную (до контрастирования) фазу. Хорошо заметен паренхиматозный узел в правой почке (в круге). Даже без усиления можно разглядеть его неоднородную структуру – с преобладанием мягкотканного компонента, а также с наличием менее плотных участков и включений кальция (красная стрелка).
В артериальную фазу становится хорошо различимой неоднородная структура опухоли, т. к. солидная ее часть (активная часть опухоли, хорошо снабженная сосудами) интенсивно усиливается и становится гиперденсной, а кистозная часть никак не накапливает контраст и остается той же плотности, что и в нативную фазу.
В венозную фазу опухоль задерживает контраст интенсивнее, чем почечная паренхима, вследствие чего выглядит более гиперденсной, более плотной.
В отсроченную фазу уже через 10 минут после начала введения типичный рак не накапливает контраст, зато хорошо становится видна чашечно-лоханочная система – появляется возможность оценить ее контуры на предмет прорастания новообразования внутрь.Схема, иллюстрирующая структуру рака почки. На нем указаны все основные элементы, составляющее типичное злокачественное новообразование. Цифрой 1 отмечена мягкотканная основа новообразования – активные раковые клетки, т. н. строма гипернефромы. 2 – кровоизлияния.
3 – кальцинаты в утолщенной, патологически измененной стенке и строме. 4 – кистозный компонент (жидкость). К – корковое вещество, М – мозговое вещество, Ч – чашечки, Л – лоханка, М – мочеточник (в данном случае – лоханочный сегмент).
Образование также можно обозначить как киста 4-й категории по Bosniak (см. ниже).
КТ-признаки рака (гипернефромы) почки в артериально-паренхиматозную фазу контрастирования.
На изображениях в верхнем ряду стрелкой красного цвета отмечено новообразование в виде узла с неоднородной структурой, синей стрелкой – простая киста в области нижнего полюса справа.
В нижнем ряду желтой стрелкой выделен мягкотканный компонент, накапливающий контраст и интенсивно усиливающийся. Зеленой стрелкой – кистозный компонент.
Очень важно при КТ оценить характер роста опухолевого узла и наличие метастазов.
Наиболее неблагоприятный – инфильтративный тип роста, когда опухоль разрушает окружающие органы, прорастая в них – нарастают симптомы интоксикации, лечение при этом длится столько, сколько живет пациент – оно лишь паллиативное.
Чаще всего опухоль левой почки прорастает в почечную фасцию (т. н. фасцию Героты) – переднюю или заднюю, в зависимости от своей локализации, в селезенку, в хвост поджелудочной железы, в надпочечник, в селезеночную вену, в почечную вену.
Опухоль правой почки может прорастать также в нижнюю полую вену. Наличие инвазии – крайне неблагоприятный признак, при выявлении которого выставляется 4-я стадия по TNM (международной классификации опухолей), а новообразование считается неоперабельным.
Наиболее часто встречающиеся варианты прорастания (инвазии) гипернефромы левой почки. ПЖ – хвост поджелудочной железы, СВ – селезеночная вена, ЛП – левая почка, ППФ – передняя ренальная фасция, ЗПФ – задняя фасция.Цифрой 1 отмечена опухоль, прорастаяющая в заднюю фасцию Героты (почечной фасции), 2 – с инвазией паранефральной клетчатки, 3 – с инвазией передней фасции Героты, 4 – с инвазией хвоста поджелудочной железы, селезеночной вены, передней почечной фасции, 5 – с прорастанием в селезенку, переднюю почечную фасцию.
Варианты прорастания (инвазии) гипернефромы правой почки. П – печень, НПВ – нижняя полая вена, ПВ – почечная вена, ПП – правая почка, ЗПФ – задняя ренальная фасция, ППФ – передняя ренальная фасция.
1 – опухоль с прорастанием в заднюю почечную фасцию, 2 – в паранефральную клетчатку, 3 – в переднюю почечную фасцию и в печень, 4 – в нижнюю полую вену (при этом в вене может быть обнаружен газ), 5 – в почечную вену.
Метастазировать рак почки, даже после удаления, может в легкие – это самый распространенный путь. Прогноз при этом неблагоприятный. В легких метастазы таких опухолей выглядит типично – это различного размера (от 0,5 до 3 см в поперечнике) солидные узлы, расположенные диффузно в паренхиме легочной ткани.
Метастазирование опухоли происходит следующим образом: прорастая венозные сосуды, клетки опухоли – т. н. опухолевые эмболы – попадают в почечную вену, затем в нижнюю полую вену, из нее – в сердце (в правое предсердие), в легочный ствол, легочные артерии все меньшего калибра и, наконец, оседают в сосудах, диаметр которых меньше либо равен их размеру.
Там они «прорастают», образуя вторичный опухолевый узел. Кроме того, гипернефрома часто дает метастазы в кости: позвонки, ребра, подвздошные кости, копчик. Они имеют литический характер – растут, разрушая костную ткань.
Также может быть выявлен рак почки с метастазами в лимфатические узлы в ренальных воротах, в паранефральной клетчатке, по ходу брюшного отдела аорты – прогноз при этом весьма серьезный, но само по себе выявление патологически измененных лимфоузлов не является противопоказанием к операции.
Буквой «М» на изображении отмечены метастазы рака почки в легкие, прогноз при выявлении которых неблагоприятен.Это типичные гематогенные вторичные опухолевые узлы, диффузно расположенные в легочной паренхиме, с тенденцией к увеличению количества и размеров в базальных отделах.
Буквами отмечены также основные анатомические структуры: С – полость сердца, А – аорта, Т – трахея, БТ – бифуркация (разделение на бронхи) трахеи, ПБ и ЛБ – правый и левый бронх соответственно, ВПВ – верхняя полая вена.
ПОЧЕЧНЫЕ КИСТЫ НА КТ: КИСТА ИЛИ РАК?
Очень часто при компьютерной томографии выявляются образования кистозного характера – в этом случае возникает вопрос – как отличить простую кисту почки, содержащую только жидкость, от рака? Может ли киста почки перерасти в рак со временем? Здесь может помочь только констрастирование. Для дифференциального диагноза простой неосложненной кисты и потенциально злокачественных кист разработана классификация Bosniak (1986 г), иллюстрация к ней представлена ниже.
1 класс по Босняку (Bosniak) – простая, не осложненная киста с ровными, тонкими стенками, заполненная содержимым низкой плотности, приблизительно +10…+15 единиц по шкале Хаунсфилда.
Форма такой кисты правильная, приближенная к шару, наиболее часто встречающийся размер – от 0,3 до 5,0 см. Самое основное – такая киста не усиливается при контрастировании. Процент малигнизации крайне низок.
Обычно такие кисты не требуют динамического наблюдения.
2 класс по Босняку (Bosniak) – минимально осложненная киста. Обнаруживаются либо перегородки, либо кальцинаты в стенке. Не накапливают контраст. Процент малигнизации невысок. Такие кисты нуждаются в наблюдении посредством УЗИ (обычно каждые полгода – год) на предмет изменения размеров.
3 класс по Босняку (Bosniak) – киста с тенденцией к озлокачествлению. Может содержать кровь, перегородки с отложениями кальция, участки утолщения стенки. Могут накапливать контраст на ограниченном участке. Подобные кисты рекомендовано удалять хирургическим путем при отсутствии противопоказаний.4 класс по Босняку (Bosniak) – киста имеет явно выраженный мягкотканный компонент в структуре, неровные края, бугристые контуры, и, что самое основное, интенсивно усиливается в артериально-паренхиматозную фазу. При выявлении подобных кист диагноз «опухоль почки» не оставляет сомнений, прогноз весьма серьезный. Рекомендуется оперативное вмешательство – при отсутствии противопоказаний.
КОГДА НУЖНО ДЕЛАТЬ КТ ПОЧЕК?
Во всех случаях, когда есть подозрительные симптомы, необходимо как можно скорее пройти рентгеновское томографическое диагностическое исследование:
1) В моче внезапно появилась кровь. Кровь в моче может быть не только признаком прогностически неблагоприятного рака лоханки почки, но и опухолей других органов системы мочевыделения (мочевого пузыря, предстательной железы), а также признаком мочекаменной болезни или гломерулонефрита.
2) Появились боли в пояснице справа или слева. Кроме гипернефромы данные изменения могут быть также признаком пиелонефрита –воспалительного заболевания почек чаще всего инфекционной природы, или даже пионефроза – гнойного расплавления органа.
3) При ультразвуковом исследовании нашли образование, подозрительное на гипернефрому. Обычно симптомы рака почки и у мужчин, и у женщин хорошо выявляются при УЗИ, особенно при допплерографии.
Однако врач, проводящий УЗИ, всегда направляет «подозрительных» пациентов на КТ с целью подвердить или опровергнуть диагноз рак почки.
Также КТ позволяет установить поражение лимфатических узлов, ближайших органов, а также метастазы в отдаленные органы (легкие и кости).
ДИАГНОСТИКА РАК ПОЧКИ НА РАННЕЙ СТАДИИ — ВОЗМОЖНОСТИ КТ
При компьютерной томографии может быть замечен очаг в почке от 0,3 см, если он имеет отличную от почечной паренхимы плотность. Конечно, такие очаги не всегда правильно интерпретируются рентгенологом, многие из них вовсе остаются без внимания либо описываются как «кисты», особенно если нет онконастороженности.
После лечения путем резекции (после удаления части почки вместе с раковой опухолью) прогноз может быть весьма оптимистичным – функция органа страдает минимально, по отзывам многих пациентов, удается сохранить достаточное качество жизни.Диагностика рака почки 1-4 стадии по TNM при компьютерной томографии также не вызывает проблем.
Затемнение в почке: что это может быть и как виден горб на УЗИ

Ультразвуковая диагностика почек является максимально информативной при заболеваниях мочевыделительной системы. Такое исследование даёт возможность специалисту поставить точный диагноз, чтобы назначить эффективное лечение.
При проведении УЗИ или рентгена почек диагност может обнаружить структурные изменения в мочевыделительных органах. И каждому из них есть своё объяснение. Но при этом многие пациенты всё же интересуются затемнением в почке что это может быть.
В материале ниже рассмотрим подробнее все возможные трактовки обследования почек при помощи аппарата УЗИ или рентгена.
Что может показать УЗИ ваших почек?

Ультразвуковое исследование почек оказывает врачу большую помощь в диагностике многих патологий мочевыделительной системы. Оно, как правило, применяется в первую очередь в качестве скринингового метода выявления патологии почек, так как имеет широкую доступность, безвредность, высокую информативность одновременно с быстротой проведения.
Зачем назначают УЗИ почек?
УЗИ почек назначают тогда, когда у врача имеются подозрения на наличие патологии в них у пациента. Об этом можно думать, когда имеются изменения в лабораторных анализах мочи или крови, либо жалобы самого пациента.
Строение почки
Ультразвуковое исследование почек показано при болях в поясничной области, в животе, при лихорадке с неустановленной причиной, при травме брюшной полости, при появлении прощупывающегося образования в брюшной полости, при окрашивании мочи в красный цвет, при учащении или урежении мочеиспускания, отсутствии мочи, при неподдающемся стандартному лечению повышению артериального давления, при первом подозрении на рак или поиск метастазов.
Кроме того, под контролем УЗИ можно проводить малоинвазивные вмешательства, оценивать состояние органов после оперативного или медикаментозного лечения.
Подготовка
Какой-либо специальной подготовки для проведения УЗИ почек у взрослых не требуется. Лишь при сильном вздутии кишечника пациенту рекомендуется в течение трех дней до исследования соблюдать диету с ограничением растительной клетчатки, свежих молочных продуктов и хлеба.
Не рекомендуется проводить ультразвуковое исследование в один день после проведения колоноскопии или рентгенографии кишечника с контрастированием барием, потому что произошедшие временные изменения в кишке после этих процедур будут препятствовать врачу достоверно и беспрепятственно осмотреть структуру паренхимы почек.
Какие заболевания можно выявить?
При эхографии в органах можно выявить очаговые и диффузные изменения. Очаговыми называют такие изменения, которые захватывают небольшой участок органа, при этом остальная часть почки остается неизмененной. При диффузных изменениях патология захватывает всю структуру органа.
Из очаговых изменений чаще всего в почках выявляют кисты. Они выглядят как анэхогенные (полностью черные) структуры округлой формы с ровными отчетливыми контурами, дающие за собой усиление ультразвукового сигнала.
Может быть видно только одну кисту, но чаще их бывает несколько в одной или обеих почках. Как правило, никакой опасности простые кисты не представляют и встречаются у многих людей после 40 лет.
Если вся ткань почек замещена множественными кистами с рождения, такое состояние называет поликистозом. Поликистоз почек часто сочетается с аналогичными изменениями в печени и поджелудочной железе.
Поликистоз почки
Абсцесс возникает в результате острого воспаления и при ультразвуковом исследовании в отличии от кисты имеет нечеткие контуры и более эхогенное содержимое, представленное гноем. Иногда вначале абсцесс может выглядеть гиперэхогенным.
Среди очаговых изменений относительно часто при УЗИ можно увидеть доброкачественное образование ангиомиолипому. Она представляет собой образование округлой формы повышенной эхогенности с ровными четкими контурами.
Ангиомиолипома почек
Среди диффузных заболеваний почек чаще всего можно встретить гломерулонефриты и пиелонефриты. Однозначных ультразвуковых критериев они не имеют, но есть ряд признаков, которые наиболее типичны для этих воспалительных заболеваний на УЗИ.
Острый гломерулонефрит приводит к увеличению размеров почки с увеличением толщины паренхимы более 20 мм. При этом можно отметить повышение эхогенности паренхимы.Гломерулонефрит почки
При длительно текущем хроническом гломерулонефрите размеры пораженного органа, наоборот, становятся меньше нормы, снижается кортико-медуллярная дифференциация паренхимы, толщина паренхимы становится меньше 12 мм.
Часто при остром пиелонефрите нельзя увидеть каких-то характерных изменений на УЗИ. Почка гипоэхогенна, отечная, границы между корковым и мозговым веществом размыты.
Хронический пиелонефрит является длительно текущим деструктивным процессом, поэтому приводит к морфологическим изменениям в почке, которые можно увидеть с помощью ультразвука.
В терминальной стадии пиелонефрита выявляется уменьшение размеров пораженной почки, гиперэхогенный ореол почечной паренхимы и отдельные мелкие кисты.
Со временем появляется истончение коркового вещества с втяжением поверхности, связанное с образованием рубцов.
Ультразвуковое исследование помогает в диагностике туберкулеза почек. Он начинается с поражения пирамидок, в которых образуются каверны с жидким содержимым.
При прорыве каверн образуется деформированное полое пространство, имеющее характерный вид при экскреторной урографии. При УЗИ обнаруживаются полые пространства, содержащие жидкость и частично обызвествленные.
Одновременно происходит постепенное разрушение почечной паренхимы и сморщивание всего органа.
Очень часто в почках возникает нарушение оттока мочи, которое может показать ультразвуковой прибор. Выделяют несколько стадий гидронефроза:
- Расширение почечной лоханки, паренхима почки при этом не изменена.
- Расширение лоханки и чашечек, истончение паренхимы.
- Кистозное расширение лоханки и узкий ободок паренхимы.
- Паренхиму полностью не видно, она не функционирует, почка представляет собой «мешок» с расширенными чашечками.
Гидронефроз почки
Причины нарушения оттока могут быть разными: закупорка мочеточника конкрементом, сгустком крови, сдавление опухолью, беременной маткой и другие.
Одной из частых причин направления на УЗИ почек является почечная колика. С помощью эхографии в большинстве случаев можно достоверно определить наличие камней диаметром более 2 мм в почках и мочевыводящих путях. Камни выглядят как яркие гиперэхогенные структуры, которые хорошо отражают от себя ультразвуковые лучи, а следом собой дают четкую акустическую тень.
Широко распространенный в некоторых клиниках диагноз «Песок в почках» на самом деле не является ультразвуковым, так как в настоящее время физически с помощью ультразвукового прибора можно увидеть только те структуры в почках, линейный размер которых более 2 мм. А все мы прекрасно знаем, что диаметр песчинок меньше 2 мм.
Губчатая почка при ультразвуковом исследовании
Губчатая почка является аномалией развития – врожденным расширением структурных составляющих – собирательных трубочек. Для большинства пациентов эта аномалия безобидна и протекает без каких-либо клинических проявлений. Но у части людей такая патология способствует развитию восходящей инфекции, требующей соответствующего лечения.
При эхографии пирамидки почки, которые в норме гипоэхогенные (темно-серые), в результате увеличения числа отражающих поверхностей раздела сред за счет расширения трубочек становятся гиперэхогенными (белыми).
С возрастом возможно вторичное обызвествление расширенных собирательных трубочек, а также образование кист в корковом веществе аномального органа. При этом губчатая почка начинает напоминать изменения при нефрокальцинозе, но без сопутствующих изменений в лабораторных анализах.
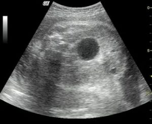
Как рак выглядит на ультразвуковом аппарате?
Ультразвуковая картина рака очень разнообразная. Наиболее распространенной злокачественной опухолью почки является почечно-клеточный рак.
Опухоли небольшого размера чаще гипоэхогенные, крупные – обычно гиперэхогенные или содержат участки смешанной эхогенности за счет происходящих в опухоли изменений. Часто рак почки бывает изоэхогенным, то есть идентичным по структуре окружающей ткани и таким образом очень плохо отличимым от нее.
Особенно трудно выявляются при УЗИ изоэхогенный рак размером менее 1 см. Небольшие опухоли имеют обычно правильную округлую форму, относительно ровные контуры.
Рак почки
Для крупного рака характерна неоднородность структуры с участками повышенной эхогенности за счет фиброза и зонами сниженной эхогенности. Могут выявляться зоны кальцинирования. В очагах распада рака образуются кистозные полости, содержащие жидкость, кровь или желеобразные массы. Участки распада при эхографии имеют вид ан- или гипо-эхогенных полостей неправильной формы.
Эхографическими признаками рака могут быть следующие изменения:
- объемные образования, имеющие иную акустическую плотность, чем паренхима;
- ограниченные выпячивания контура органа;
- кисты с очень плотной или неровной стенкой, с кровоизлиянием;
- прерывистость эхо-сигналов от центрального эхо-комплекса, обнаружение паренхиматозных мостиков;
- при доплерографии в раке выявляется дефект окрашивания, где пропадает нормальная архитектоника почечных сосудов, степень васкуляризации может быть различной – от полного отсутствия изображения сосудов до высокой васкуляризации с множественным усилением цветового сигнала.
Горбатая почка – что это?
Иногда на поверхности органа, чаще левой, выявляется выбухание ее внешнего контура.
В некоторых случаях его принимают за опухоль, но при более детальном осмотре устанавливают, что это является индивидуальной особенностью строения органа у пациента и не представляет никакой опасности для жизни и нормальной работы органа.
В таком случае врач выносит в описание УЗИ фразу «горбатая почка». Она возникает либо от давления селезенки на почку, либо в результате нарушений в эмбриональном развитии.
О чем говорит затемнение в почке?
Применительно к инструментальной диагностике термин «затемнение» используется в рентгенологии. В эхографическом описании структуры, которые выглядят темнее окружающих тканей, называют «гипоэхогенными» или «сниженной эхогенности». Совсем черные структуры называют «анэхогенными».
Гпоэхогенными участками могут быть следующие изменения:
- абсцесс;
- опухоль;
- кровоизлияние;
- кроме того, нормальными гипоэхогенными структурами в паренхиме являются пирамидки.
Полностью черными, «анэхогенными» могут быть: кисты и расширенные лоханки или чашечки в результате задержки оттока мочи.
Дальнейшие действия, анализы, диагностика после УЗИ почек
После проведения ультразвуковой диагностики врач выдает пациенту на руки протокол исследования или передает его лечащему врачу.
Ультразвуковое заключение не является окончательным диагнозом, а лишь служит помощью врачу в диагностике происходящих в организме пациента изменений.
Врач, на основании не только ультразвукового описания и заключения, но и еще анализируя жалобы, осмотр больного, лабораторные анализы пациента выставляет ему окончательный диагноз и назначает необходимое лечение.
Если же врачу не достаточно этих данных, или во время УЗИ почек были обнаружены какие-то неясные отклонения, которые могут встречаться при разных заболеваниях, лечащий врач назначает пациенту дополнительные методы обследования.
Это может быть компьютерная томография, магниторезонансная томография, экскреторная урография, рентгенография, ангиография, различные лабораторные анализы мочи и крови или же контрольное УЗИ в динамике через некоторое время.
Заключение
Ультразвуковое исследование в большинстве случаев позволяет поставить врачу точный диагноз и назначить необходимое лечение пациента. Благодаря широкой доступности, безвредности и большой информативности этот метод обследования среди первых назначают при подозрении на практически любые заболевания почек и мочевыводящей системы.
Источник: https://uziprosto.ru/ultrazvuk/briushnoi-polosti/chto-mozhet-pokazat-uzi-pochek-varianty.html
